No. 39

Surprising genetic variety in childhood brain cancer

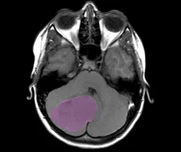
MRT-Image of a Medulloblastoma
MRT-Image of a Medulloblastoma

An international research team led by scientists from the German Cancer Research Center (DKFZ) and the Hopp Children's Tumor Center at the NCT Heidelberg (KiTZ) has identified new genetic alterations and mechanisms that lead to very aggressive types of childhood brain cancer. Their results, which have now been published in the journal Nature, will contribute to developing novel treatment approaches for previously incurable cancer cases and to targeting tumors more specifically.

Medulloblastoma is a malignant tumor of the cerebellum. Medulloblastoma can occur at any age, but it most commonly affects children. Medulloblastomas are classified in four distinct molecular-biological subgroups that are characterized by widely varying disease courses and chances of cure. Tumors of groups 3 and 4 are particularly common in children. However, little is understood up to know about these two types. Therefore, treatment of cancers of this group is often very difficult. “Even if patients respond well to the treatment, their cancer is often being cured at high costs, because the therapy can have negative effects on the brain, the IQ and the children's further development,“ said Stefan Pfister from the German Cancer Research Center (Deutsches Krebsforschungszentrum, DKFZ), who is also the director of the Hopp Children's Tumor Center at the NCT* Heidelberg (KiTZ) and pediatric oncologist at the Heidelberg University Hospital.

An international research team under the leadership of scientists from the German Cancer Research Center has now analyzed almost 500 medulloblastomas. They discovered that these brain cancers exhibit a much wider genetic variety than previously thought. In groups 3 and 4, in particular, more than half of the underlying genetic alterations had been completely unknown until now. “While we could previously explain only 30 percent of tumors in these groups on a molecular-biological basis, we have now reached 80 percent,“ emphasized Peter Lichter from the DKFZ.

This finding helps classify subgroups of medulloblastoma more precisely and treat them more individually in order to improve curative chances and reduce the risk for severe side effects. Lichter said that in some cases this could already be done using available agents. “In other subtypes we now understand the genetic causes for the first time so that we can search very specifically for new therapy approaches,“ said Lichter.

In addition, the scientists have identified alterations at the level of gene regulation as a typical mechanism for the occurrence of medulloblastoma. In a process called “enhancer hijacking“, cancer genes frequently capture DNA sequences called “enhancers“. Structural changes in the DNA cause an oncogene that should normally be inactive to move to a different position where it is activated by an enhancer, thus promoting the onset of cancer.

This work was supported by the International Cancer Genome Cornsortium PedBrain Tumour Project, funded by the German Cancer Aid and by the German Federal Ministry of Education and Research.

Paul A. Northcott, Ivo Buchhalter, A. Sorana Morrissy, Volker Hovestadt, Joachim Weischenfeldt, Tobias Ehrenberger, Susanne Groebner, Maia Segura-Wang, Thomas Zichner, Vasilisa Rudneva, Hans-Jörg Warnatz, Nikos Sidiropoulos, Aaron H. Phillips, Steven Schumacher, Kortine Kleinheinz, Sebastian M. Waszak, Serap Erkek, David T.W. Jones, Barbara C. Worst, Marcel Kool, Marc Zapatka, Natalie Jäger, Lukas Chavez, Barbara Hutter, Matthias Bieg, Nagarajan Paramasivam, Michael Heinold, Zuguang Gu, Naveed Ishaque, Christina Jäger-Schmidt, Charles D. Imbusch, Alke Jugold, Daniel Hübschmann, Thomas Risch, Vyacheslav Amstislavskiy, Francisco German Rodriguez Gonzalez, Ursula D. Weber, Stephan Wolf, Giles W. Robinson, Xin Zhou, Gang Wu, David Finkelstein, Yanling Liu, Florence M.G. Cavalli, Betty Luu, Vijay Ramaswamy, Xiaochong Wu, Jan Koster, Marina Ryzhova, Yoon-Jae Cho, Scott L. Pomeroy, Christel Herold-Mende, Martin Schuhmann, Martin Ebinger, Linda M. Liau, Jaume Mora, Roger E. McLendon, Nada Jabado, Toshihiro Kumabe, Eric Chuah, Yussanne Ma, Richard A. Moore, Andrew J. Mungall, Karen L. Mungall, Nina Thiessen, Kane Tse, Tina Wong, Steven J.M. Jones, Olaf Witt, Till Milde, Andreas von Deimling, David Capper, Andrey Korshunov, Marie-Laure Yaspo, Richard Kriwacki, Amar Gajjar, Jinghui Zhang, Rameen Beroukhim, Ernest Fraenkel, Jan O. Korbel, Benedikt Brors, Matthias Schlesner, Roland Eils, Marco A. Marra, Stefan M. Pfister, Michael D. Taylor and Peter Lichter: The whole-genome landscape of medulloblastoma subtypes. Nature 2017, DOI: 10.1038/nature22973

About DKFZ

With more than 3,000 employees, the German Cancer Research Center (Deutsches Krebsforschungszentrum, DKFZ) is Germany’s largest biomedical research institute. DKFZ scientists identify cancer risk factors, investigate how cancer progresses and develop new cancer prevention strategies. They are also developing new methods to diagnose tumors more precisely and treat cancer patients more successfully. The DKFZ's Cancer Information Service (KID) provides patients, interested citizens and experts with individual answers to questions relating to cancer.

To transfer promising approaches from cancer research to the clinic and thus improve the prognosis of cancer patients, the DKFZ cooperates with excellent research institutions and university hospitals throughout Germany:

  • National Center for Tumor Diseases (NCT, 6 sites)
  • German Cancer Consortium (DKTK, 8 sites)
  • Hopp Children's Cancer Center (KiTZ) Heidelberg
  • Helmholtz Institute for Translational Oncology (HI-TRON Mainz) - A Helmholtz Institute of the DKFZ
  • DKFZ-Hector Cancer Institute at the University Medical Center Mannheim
  • National Cancer Prevention Center (jointly with German Cancer Aid)

The DKFZ is 90 percent financed by the Federal Ministry of Research, Technology and Space and 10 percent by the state of Baden-Württemberg. The DKFZ is a member of the Helmholtz Association of German Research Centers.

Form

Form data is loaded ...