No. 46

Possible cause for psoriasis discovered - Absence of a molecule causes psoriasis-like symptoms in mice

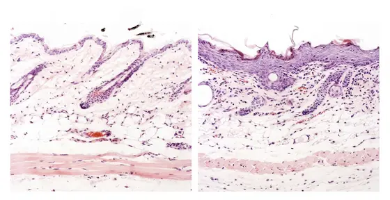
Tissue sections: Mouse with healthy skin (left) and with skin symptoms resembling psoriasis (right).
Tissue sections: Mouse with healthy skin (left) and with skin symptoms resembling psoriasis (right).

Psoriasis is an inflammatory skin condition that is very common in the Western world. Teams of researchers headed by Professor Michael Boutros at the German Cancer Research Center (Deutsches Krebsforschungszentrum, DKFZ) and the Medical Faculty Mannheim of Heidelberg University have now discovered that an absence of the so-called "Wnt signaling pathway" causes a skin condition resembling psoriasis in mice. This cellular pathway involving molecular signals also plays an important part in tumor growth.

Two million people in Germany suffer from psoriasis. Those who are affected suffer from dry, sensitive and scaly skin. This complex condition involves a combination of a genetic predisposition to the disease, environmental factors, and an imbalance of the immune system. As a result, over the long term the skin loses its function as a natural barrier against pathogens, chemical and physical irritants leading to inflammations, autoimmune reactions, and infections.

In their present article, Professor Michael Boutros and Dr. Iris Augustin have looked into the communication between the outer layer of the skin (epidermis) and the immune system, focusing on a biochemical network within the cell called the “Wnt signaling pathway." “Wnt signaling plays an important role during embryonic development in humans and animals, and is also involved in controlling the development of stem cells in the skin and gut," Boutros says. Skin cells produce Wnt molecules, which have to be secreted in order to transmit crucial signals between cells. For this to happen, Wnt molecules are transported from the cell interior to its membrane; they are released from the cell with the aid of a cargo protein called Evi. Outside, Wnt binds to neighboring cells and triggers new signals. These lead, for example, to the production of new chemical messengers within the neighbors or the promotion of their growth.

In the current study, the researchers used mice whose cells are unable to produce Evi. In the absence of this cargo protein, Wnt molecules were unable to leave the cell of origin and trigger signals in neighbors. The researchers observed that the mice developed symptoms resembling those of psoriasis: “The skin gets inflamed, new vessels are formed, and epidermal cells multiply strongly and take on a scaly appearance," Iris Augustin says. Additionally, the skin of these mice contained less than normal quantities of so-called “dendritic epidermal T cells" (DETCs).

“DETCs are immune cells in the skin that normally fend off invaders and prevent inflammation by slowing down immune cell infiltration from the bloodstream," Augustin explains. “The absence of DETCs in the mouse skin probably prompts more immune cells to leave the bloodstream and infiltrate the skin."

A comparison of the mouse model with tissue sections of psoriasis patients revealed clear parallels: Levels of the Evi cargo protein were also low in humans, and also resulted in weaker than normal Wnt signaling. “This suggests that the Wnt signaling pathway also plays an important role in human psoriasis," Augustin says. “Our finding offers a new approach to understanding the complex processes that underlie inflammatory skin conditions."

For a long time scientists have known that alterations in the Wnt pathway are also involved in the development of cancer. Higher than normal Wnt levels are linked, for example, to breast cancer and colorectal cancer. The Wnt signal also seems to play an important part in glioblastoma, a type of human brain cancer. Last year, researchers in Michael Boutros’ group found increased levels of Evi in glioblastoma cells. “This probably leads to stronger Wnt signals," Augustin says, “and it might explain our observation that these cancer cells grow more rapidly." Next the scientists will try to find out whether blocking Evi – and thus the Wnt signaling pathway – is an effective strategy to stop the growth of tumors.

Augustin I, Gross J, Baumann D, Korn C, Kerr G, Grigoryan T, Mauch C, Birchmeier W and Boutros M: Loss of epidermal Evi/Wls results in a phenotype resembling psoriasiform dermatitis. The Journal of Experimental Medicine 2013 Aug, DOI: 10.1084/jem.20121871.

A picture for this press release is available on the Internet at:
gewebeschnitt-PM-boutros.jpg

Caption:
Tissue sections: Mouse with healthy skin (left) and with skin symptoms resembling psoriasis (right).

About DKFZ

With more than 3,000 employees, the German Cancer Research Center (Deutsches Krebsforschungszentrum, DKFZ) is Germany’s largest biomedical research institute. DKFZ scientists identify cancer risk factors, investigate how cancer progresses and develop new cancer prevention strategies. They are also developing new methods to diagnose tumors more precisely and treat cancer patients more successfully. The DKFZ's Cancer Information Service (KID) provides patients, interested citizens and experts with individual answers to questions relating to cancer.

To transfer promising approaches from cancer research to the clinic and thus improve the prognosis of cancer patients, the DKFZ cooperates with excellent research institutions and university hospitals throughout Germany:

  • National Center for Tumor Diseases (NCT, 6 sites)
  • German Cancer Consortium (DKTK, 8 sites)
  • Hopp Children's Cancer Center (KiTZ) Heidelberg
  • Helmholtz Institute for Translational Oncology (HI-TRON Mainz) - A Helmholtz Institute of the DKFZ
  • DKFZ-Hector Cancer Institute at the University Medical Center Mannheim
  • National Cancer Prevention Center (jointly with German Cancer Aid)

The DKFZ is 90 percent financed by the Federal Ministry of Research, Technology and Space and 10 percent by the state of Baden-Württemberg. The DKFZ is a member of the Helmholtz Association of German Research Centers.

Form

Form data is loaded ...