No. 26

Intermittent fasting protects against liver inflammation and liver cancer / Drug partially mimics fasting effects

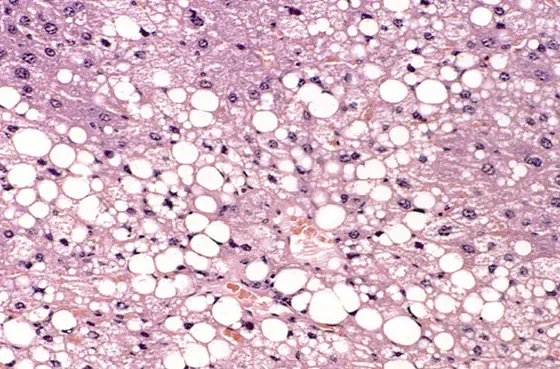
Histological section of a murine liver showing severe steatosis.
Histological section of a murine liver showing severe steatosis.

Fatty liver disease often leads to chronic liver inflammation and can even result in liver cancer. Scientists from the German Cancer Research Center (DKFZ) and the University of Tübingen have now shown in mice* that intermittent fasting on a 5:2 schedule can halt this development. The fasting regime reduces the development of liver cancer in mice with pre-existing liver inflammation. The researchers identified two proteins in liver cells that are jointly responsible for the protective effect of fasting. An approved drug can partially mimic this effect.

The most common chronic liver condition is non-alcoholic fatty liver disease. It can have serious consequences: If left untreated, it can lead to liver inflammation (metabolic dysfunction-associated steatohepatitis, MASH), liver cirrhosis and even liver cancer. Fatty liver disease is largely considered to be a direct consequence of obesity. It is not only people in Europe and the USA who have put on enormous amounts of weight in recent decades; obesity is also becoming increasingly widespread in emerging countries such as India and China. As a result, the number of cases of liver failure and liver cancer is rising sharply in the countries affected.

“The vicious circle of an unhealthy diet, obesity, liver inflammation and liver cancer is associated with major restrictions and suffering for those affected and also represents a considerable burden on healthcare systems,“ says Mathias Heikenwälder, DKFZ and University of Tübingen. “We have therefore investigated whether simple dietary changes can specifically interrupt this fatal process.“

Intermittent fasting has already been shown in several studies to be an effective means of reducing weight and alleviating certain metabolic disorders. Heikenwälder's team has now tested in mice whether this approach can also protect the liver from fatty degeneration and chronic inflammation.

 

Resistance to liver inflammation is independent of calorie intake

The animals were fed with a high-sugar and high-fat diet correspondind to the typical Western diet. One group of mice had constant access to the food. As expected, these animals gained weight and body fat and developed chronic liver inflammation.

The mice in the other group were given nothing to eat on two days a week (5:2 intermittent fasting, or 5:2 IF for short), but were allowed to eat as much as they wished on the other days. Despite the high-calorie diet, these animals did not put on weight, showed fewer signs of liver disease and had lower levels of biomarkers that indicate liver damage. In short, they were resistant to the development of MASH.

Interestingly, resistance to the development of a fatty liver was independent of the total calorie intake, as the animals immediately made up for the lost rations after the end of the fasting periods.

When experimenting with different variants of intermittent fasting, it was found that several parameters determine protection against liver inflammation: The number and duration of fasting cycles play a role, as does the start of the fasting phase. A 5:2 dietary pattern works better than 6:1; 24-hour fasting phases better than 12-hour ones. A particularly unhealthy diet requires more frequent dieting cycles.

Heikenwälder's team now wanted to find out the molecular background of the response to fasting. To this end, the researchers compared protein composition, metabolic pathways and gene activity in the liver of fasting and non-fasting mice. Two main players responsible for the protective fasting response emerged: the transcription factor PPARα and the enzyme PCK1. The two molecular players work together to increase the breakdown of fatty acids and gluconeogenesis and inhibit the build-up of fats.

“The fasting cycles lead to profound metabolic changes, which together act as beneficial detoxification mechanisms and help to combat MASH,“ says Heikenwälder, summarizing the molecular details.

The fact that these correlations are not just a mouse phenomenon was shown when tissue samples from MASH patients were examined: Here, too, the researchers found the same molecular pattern with reduced PPAR α and PCK1.

Are PPAR α and PCK1 actually responsible for the beneficial effects of fasting? When both proteins were genetically switched off simultaneously in the liver cells of the mice, intermittent fasting was unable to prevent either chronic inflammation or fibrosis.

The drug pemafibrate mimics the effects of PPARα in the cell. Can the substance also mimic the protective effect of fasting? The researchers investigated this question in mice. Pemafibrate induced some of the favorable metabolic changes that were observed with 5:2 fasting. However, it was only able to partially mimic the protective effects of fasting. “This is hardly surprising, as we can only influence one of the two key players with pemafibrate. Unfortunately, a drug that mimics the effects of PCK1 is not yet available,“ explains Mathias Heikenwälder.

 

Intermittent fasting as liver therapy

While Heikenwälder and his team initially focused on the effects of intermittent fasting on the prevention of MASH, they then investigated whether the 5:2 diet could also alleviate existing chronic liver inflammation.

To this end, the team examined mice that had developed MASH after months of being fed a high-sugar, high-fat diet. After a further four months of 5:2 intermittent fasting (on the same diet), these animals were compared with the non-fasting control group. The fasting mice had better blood values, less fatty liver and liver inflammation and above all: they developed less liver cancer and had fewer cancer foci in the liver.

“This shows us that 5:2 intermittent fasting has great potential - both in the prevention of MASH and liver cancer, as well as in the treatment of established chronic liver inflammation,“ summarizes principal investigator Heikenwälder. “The promising results justify studies in patients to find out whether intermittent fasting protects against chronic liver inflammation as well as in the mouse model.“

The 5:2 fasting regimen is popular. It is considered comparatively easy to integrate into everyday life, as the fasting days can be tailored to personal needs and no specific foods are prohibited. “Nevertheless, there will always be people who can't stick to a strict diet in the long term,“ says Heikenwälder. “That's why we want to continue to investigate which combinations of drugs we can use to fully mimic the protective effects of fasting.“

Publication:
Suchira Gallage, Adnan Ali, Jose Efren Barragan Avila, Nogayhan Seymen, Pierluigi Ramadori, Vera Joerke, Laimdota Zizmare, Jan Kosla, Xin Li, Enrico Focaccia, Suhail Yousuf, Tjeerd Sijmonsma, Mohammad Rahbari, Katharina S. Kommoss, Adrian Billeter, Sandra Prokosch, Ulrike Rothermel, Florian Mueller, Jenny Hetzer, Danijela Heide, Tim Machauer, Nisar P. Malek, Thomas Longerich, Adam J. Rose, Susanne Roth, Johannes Schwenck, Christoph Trautwein, Mohammad M Karimi, Mathias Heikenwälder: PPAR alpha agonist pemafibrate recapitulates aspects of hepatic fasting response
Cell Metabolism 2023, DOI https://doi.org/10.1016/j.cmet.2024.04.015

 

* Why was it necessary to study mice for this experiments?

A high-calorie, unbalanced diet and a sedentary lifestyle are contributing to the sharp rise in the proportion of obese people in many parts of the world. Obesity also increases the risk of a whole range of secondary diseases for those affected, including cardiovascular diseases, metabolic diseases, cancer and joint problems. Understanding these correlations and, ideally, intervening in a targeted manner is an extremely important research goal.
Several organs and organ systems are jointly involved in the development of obesity-related health consequences. The liver, pancreas, brain, lymphatic organs and fatty tissue work together here, which cannot be simulated in the culture dish. The intestine can also play a role in the development of MASH. The spontaneous development of liver cancer from a fatty liver can therefore only be recapitulated and investigated if all these factors interact.
Also crucial is the influence of immune cells that migrate from the periphery of the body into the fatty liver, are activated there and migrate back into the body, where they interact with the fatty tissue. This can only be investigated in an intact organism. Experiments with mice are also necessary to understand which length of fasting periods achieves the most favorable health results in the context of the circadian (day/night) rhythm.

About DKFZ

With more than 3,000 employees, the German Cancer Research Center (Deutsches Krebsforschungszentrum, DKFZ) is Germany’s largest biomedical research institute. DKFZ scientists identify cancer risk factors, investigate how cancer progresses and develop new cancer prevention strategies. They are also developing new methods to diagnose tumors more precisely and treat cancer patients more successfully. The DKFZ's Cancer Information Service (KID) provides patients, interested citizens and experts with individual answers to questions relating to cancer.

To transfer promising approaches from cancer research to the clinic and thus improve the prognosis of cancer patients, the DKFZ cooperates with excellent research institutions and university hospitals throughout Germany:

  • National Center for Tumor Diseases (NCT, 6 sites)
  • German Cancer Consortium (DKTK, 8 sites)
  • Hopp Children's Cancer Center (KiTZ) Heidelberg
  • Helmholtz Institute for Translational Oncology (HI-TRON Mainz) - A Helmholtz Institute of the DKFZ
  • DKFZ-Hector Cancer Institute at the University Medical Center Mannheim
  • National Cancer Prevention Center (jointly with German Cancer Aid)

The DKFZ is 90 percent financed by the Federal Ministry of Research, Technology and Space and 10 percent by the state of Baden-Württemberg. The DKFZ is a member of the Helmholtz Association of German Research Centers.

Form

Form data is loaded ...