No. 17

How cancer viruses protect their host cells against tumor therapies

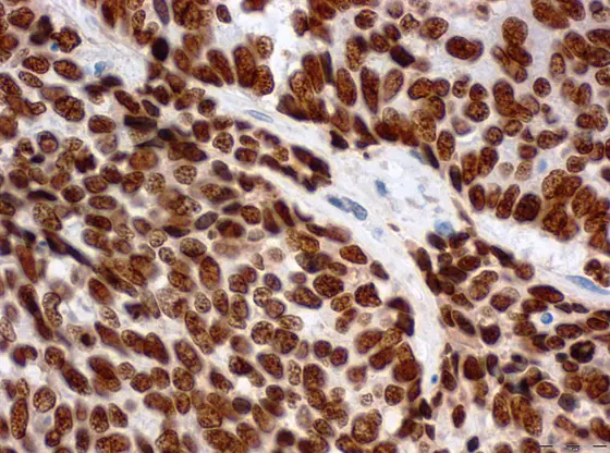
Tissue section of a cervical tumor. The cancer cells contain high levels of LEDGF protein (brown staining).
Tissue section of a cervical tumor. The cancer cells contain high levels of LEDGF protein (brown staining).

Certain types of human papillomaviruses (HPV) cause cervical cancer by settling in a body cell and inducing it to divide in an out-of-control process. Scientists at the German Cancer Research Center (Deutsches Krebsforschungszentrum, DKFZ) have now discovered a mechanism by which HPV protects cancer cells from undergoing DNA damage and dying as a result of cancer therapies.

Chemotherapy drugs and irradiation damage the DNA of cancer cells. As a result, a process called programmed cell death is activated, and the cancer cells die. Human papillomaviruses (HPV) that have settled in cells of the cervix protect their hosts from this fate and thereby increase the cells’ resistance to cancer therapies. Scientists have suspected for a long time that two genes of the virus, E6 and E7, are involved in this process.

“In order to find out how HPV protects host cells against DNA damage, we blocked the activity of the E6 and E7 genes in HPV-positive tumor cells,“ says Jenny Leitz, first author of the publication. The result: In the absence of E6 and E7, cells mostly block the production of a protein called LEDGF, which normally protects cancer cells from DNA damage.

Do the two HPV genes activate the production of LEDGF? To pursue this question, the researchers inserted one or both of the viral genes into human skin cells. “Subsequently, levels of LEDGF rose significantly,“ says Professor Felix Hoppe-Seyler. “The effect was strongest when we introduced both genes into the cells.“

In tissue sections of HPV-positive cervical cancer and its precursors, the researchers also found higher levels of LEDGF than in healthy tissue. But does this also mean that higher LEDGF levels protect cancer cells from DNA damage? To find out, the scientists treated HPV-positive cervical cancer cells with DNA-damaging chemical substances or gamma radiation. “When we blocked LEDGF in the cancer cells, there was significantly more DNA damage and the cells divided less frequently,“ reports Hoppe-Seyler, who led the study. “Based on these experiments, we think that HPV activates the production of LEDGF through the E6 and E7 genes and thereby protects cancer cells from DNA damage.“

These findings may be useful in increasing the effectiveness of chemotherapy and radiotherapy when applied to tumors. “To accomplish this, we need to develop LEDGF inhibitors that target cancer cells,“ says Hoppe-Seyler. “But we still have a long road ahead of us to achieve this goal.“

First author Jenny Leitz is supported with a PhD grant from the Peter and Traudl Engelhorn Foundation.

Leitz J, Reuschenbach M, Lohrey C, Honegger A, Accardi R, Tommasino M, Llano M, von Knebel Doeberitz M, Hoppe-Seyler K, Hoppe-Seyler F. (2014). Oncogenic Human Papillomaviruses Activate the Tumor-Associated Lens Epithelial-Derived Growth Factor (LEDGF) Gene. PLoS Pathog. doi: 10.1371/journal.ppat.1003957

A picture for this press release is available at:
gebaermutterhalstumor.jpg

Caption: Tissue section of a cervical tumor. The cancer cells contain high levels of LEDGF protein (brown staining).
Source: Miriam Reuschenbach, Heidelberg University Hospital

About DKFZ

With more than 3,000 employees, the German Cancer Research Center (Deutsches Krebsforschungszentrum, DKFZ) is Germany’s largest biomedical research institute. DKFZ scientists identify cancer risk factors, investigate how cancer progresses and develop new cancer prevention strategies. They are also developing new methods to diagnose tumors more precisely and treat cancer patients more successfully. The DKFZ's Cancer Information Service (KID) provides patients, interested citizens and experts with individual answers to questions relating to cancer.

To transfer promising approaches from cancer research to the clinic and thus improve the prognosis of cancer patients, the DKFZ cooperates with excellent research institutions and university hospitals throughout Germany:

  • National Center for Tumor Diseases (NCT, 6 sites)
  • German Cancer Consortium (DKTK, 8 sites)
  • Hopp Children's Cancer Center (KiTZ) Heidelberg
  • Helmholtz Institute for Translational Oncology (HI-TRON Mainz) - A Helmholtz Institute of the DKFZ
  • DKFZ-Hector Cancer Institute at the University Medical Center Mannheim
  • National Cancer Prevention Center (jointly with German Cancer Aid)

The DKFZ is 90 percent financed by the Federal Ministry of Research, Technology and Space and 10 percent by the state of Baden-Württemberg. The DKFZ is a member of the Helmholtz Association of German Research Centers.

Form

Form data is loaded ...