No. 06

Gene Mutation Immortalizes Malignant Melanoma

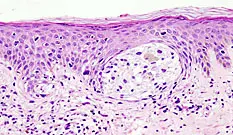
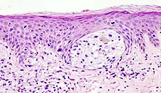
Scientists from the German Cancer Research Center and from University Duisburg-Essen have discovered a previously unknown genetic cause of malignant melanoma: a gene mutation that leads to overactive telomerase, the so-called ‘immortality enzyme’. The mutated gene region found in familial melanoma is also altered in up to 74 percent of non-inherited cases of melanoma - here as a consequence of sun exposure. Substances inhibiting telomerase may be a novel therapeutic approach for treating malignant melanoma. The researchers have published their findings in Science.

About ten percent of all cases of malignant melanoma are familial cases. The genome of affected families tells scientists a lot about how the disease develops. Prof. Dr. Rajiv Kumar of the German Cancer Research Center (Deutsches Krebsforschungszentrum, DKFZ) together with Prof. Dr. Dirk Schadendorf from Essen University Hospital studied a family where 14 family members were affected by malignant melanoma.

The scientists analyzed the genomes of family members and found an identical mutation in the gene for telomerase, an enzyme often called ‘immortality enzyme’, in all persons studied. Telomerase protects the ends of chromosomes from being lost in the process of cell division and, thus, prevents that the cell ages and dies. The inherited gene mutation leads to the formation of a binding site for protein factors in the controlling region of the telomerase gene, causing it to become overactive. As a result, mutated cells overproduce telomerase and hence become virtually immortal.

This spectacular finding of the family analysis prompted the scientists to also look for mutated telomerase genes in non-inherited (sporadic) melanoma, which is much more common than the familial variant. In most of the tissue samples of melanomas of all stages they found alterations in the telomerase gene switch, which the researchers clearly identified as typical consequences of sun exposure. Even though these mutations were not identical to those found in the melanoma family, they had the same effect: overactive telomerase.

“We don’t believe that the telomerase gene in melanoma is mutated by pure chance, but that it is a so-called driver mutation that drives carcinogenesis," says Rajiv Kumar. This is also confirmed by the surprising incidence of this alteration: The telomerase gene is the most frequently mutated gene in melanoma. “This is something we hadn’t expected, because malignant melanoma has been genetically analyzed thoroughly. But this mutation always seems to have been overlooked," says Kumar.

Rajiv Kumar, Dirk Schadendorf and their teams are hoping that the alterations in the telomerase gene may be a starting point for developing novel treatment methods for malignant melanoma. A very recent development targeting a specific alteration in the B-RAF gene, which characterizes about half of all melanomas, has shown that this is possible. The mutation gave rise to the development of a targeted drug that can arrest cancer growth. “Substances inhibiting telomerase have already been developed and some of them have even been tested in phase III clinical trials," said Rajiv Kumar. Inhibition of the immortality enzyme might also be able to arrest growth in melanoma.

Susanne Horn, Adina Figl, P. Sivaramakrishna Rachakonda, Christine Fischer, Antje Sucker, Andreas Gast, Stephanie Kadel, Iris Moll, Eduardo Nagore, Kari Hemminki, Dirk Schadendorf and Rajiv Kumar: TERT Promoter Mutations in Familial and Sporadic Melanoma. Science 2013
DOI: 10.1126/science.1230062

About DKFZ

With more than 3,000 employees, the German Cancer Research Center (Deutsches Krebsforschungszentrum, DKFZ) is Germany’s largest biomedical research institute. DKFZ scientists identify cancer risk factors, investigate how cancer progresses and develop new cancer prevention strategies. They are also developing new methods to diagnose tumors more precisely and treat cancer patients more successfully. The DKFZ's Cancer Information Service (KID) provides patients, interested citizens and experts with individual answers to questions relating to cancer.

To transfer promising approaches from cancer research to the clinic and thus improve the prognosis of cancer patients, the DKFZ cooperates with excellent research institutions and university hospitals throughout Germany:

  • National Center for Tumor Diseases (NCT, 6 sites)
  • German Cancer Consortium (DKTK, 8 sites)
  • Hopp Children's Cancer Center (KiTZ) Heidelberg
  • Helmholtz Institute for Translational Oncology (HI-TRON Mainz) - A Helmholtz Institute of the DKFZ
  • DKFZ-Hector Cancer Institute at the University Medical Center Mannheim
  • National Cancer Prevention Center (jointly with German Cancer Aid)

The DKFZ is 90 percent financed by the Federal Ministry of Research, Technology and Space and 10 percent by the state of Baden-Württemberg. The DKFZ is a member of the Helmholtz Association of German Research Centers.

Form

Form data is loaded ...