No. 01c

Brain tumors in children: Cancer cells become less aggressive as they migrate within the tumor

Microscopic image of the tumor cells, which develop differently depending on the tumor area. Right: Turquoise and beige cells are rapidly dividing, early tumor cells, green and red are more mature stages and purple are connective tissue and auxiliary cells of the tumor.
Microscopic image of the tumor cells, which develop differently depending on the tumor area. Right: Turquoise and beige cells are rapidly dividing, early tumor cells, green and red are more mature stages and purple are connective tissue and auxiliary cells of the tumor.

Certain brain tumors in small children contain cells that develop very similarly to normal brain cells and others that have already developed malignantly, depending on where they are located within the tumor. By analyzing individual cells, a team of researchers from the Hopp Children's Cancer Center Heidelberg (KiTZ), the German Cancer Research Center (DKFZ) and Heidelberg University Hospital (UKHD) were able to characterize the genetic programs of the individual cells in detail and identify their developmental pathway within the tumor. The "Hopp Children's Cancer Center Heidelberg" (KiTZ) is a joint institution of the German Cancer Research Center (DKFZ), Heidelberg University Hospital (UKHD) and Heidelberg University (Uni HD).

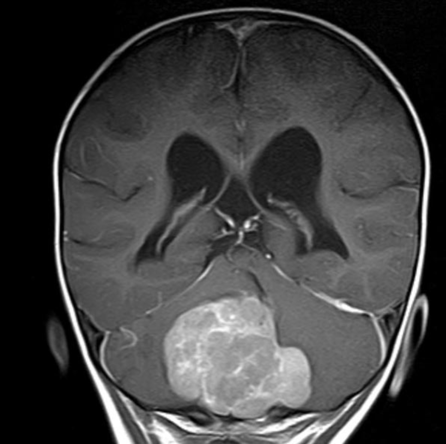
Medulloblastoma are among the most common solid tumors in children and the most common malignant brain tumor in children. The tumor grows in the cerebellum and can damage vital brain centers as it grows.

Based on tissue characteristics and genetic criteria, medulloblastomas are now divided into different risk groups, which can take a completely different course. While certain subtypes progress aggressively and form metastases, there are other forms that can usually be cured with an intensive combination therapy of surgery, chemotherapy and radiotherapy.

A team of researchers from the Hopp Children's Cancer Center Heidelberg (KiTZ), the German Cancer Research Center (DKFZ) and Heidelberg University Hospital (UKHD) has now used a novel method to investigate what directs certain tumors in a more benign or malignant direction at the cellular level.

A certain type of medulloblastoma, which is characterized by its good chances of recovery and at the same time by the special structural properties of its tissue, served as a model for them: in so-called medulloblastoma with extensive nodularity (MBEN), small tissue chambers are delimited within the tumor, which are connected in a grape-like manner. The study showed that tumor cells located in these nodules were no longer actively dividing and their genetic program was similar to that of mature brain cells. In the intermediate areas, however, the scientists identified different cell types: In addition to immune and connective tissue cells, there were also significantly more aggressive tumor cells that continued to divide uncontrollably and whose genetic program was more similar to those of fast-growing medulloblastomas and immature nerve cells. In the course of their migration into the nodes, however, the cancer cells matured back into nerve-like cells and no longer divided.

Kristian Pajtler, a pediatric oncologist at KiTZ, DKFZ and UKHD and head of the study, explains the results as follows: “In some childhood tumors, the normal development process is blocked. The cancer cells thus become similar to immature precursor cells, which remain active in division due to a specific genetic program. In MBEN tumors, this apparently only works partially and many of the cells then go through the halfway normal development process of a cerebellar cell and stop dividing. This would also explain the mostly favorable course of this type of tumor.“

For their analyses, the team dissected the tumors of nine young MBEN patients into their individual cellular components and analyzed the genetic program of the individual cells. Using a bioinformatic method, they were then able to reconstruct where exactly these cells were located within the tumor. The method, which was used in collaboration with Karsten Rippe's department at DKFZ, is of particular importance for medulloblastoma research, explains one of the two lead authors of the study, David Ghasemi, physician and scientist at KiTZ, UKHD and DKFZ. “Until now, it has never been possible to develop laboratory models for this type of medulloblastoma. Only with this method was it possible to localize the individual cell types within the tumor and to understand how the various areas within the tumor differ from each other.“

Blocking the maturation process is an important therapeutic tool that is already being researched in order to avert malignant progression in children and steer the cancer cells back in a benign direction. “It is possible that MBEN tumors only need a little push here,“ says Kristian Pajtler. “Because even if most children with an MBEN tumor can be cured by surgery and, if necessary, further therapies, these are very intensive treatments for small children, which are often associated with severe, lifelong side effects.“

Original publication:
Ghasemi D.R., Okonechnikov K. et al. Compartments in medulloblastoma with extensive nodularity are connected through differentiation along the granular precursor lineage. In: Nature Communications (Online Publication 8th of January, DOI: 10.1038/s41467-023-44117-x)

An image for this press release is available for download at:
https://www.kitz-heidelberg.de/fileadmin/media/KiTZ-HD/News/2024/240104-MBEN_MRT.png 

Caption:
MRI image: In so-called medulloblastoma with extensive nodularity (MBEN), small tissue chambers are delimited within the tumor and are connected in a grape-like manner.

Note on use of images related to press releases
Use is free of charge. The German Cancer Research Center (Deutsches Krebsforschungszentrum, DKFZ) permits one-time use in the context of reporting about the topic covered in the press release. Images have to be cited as follows: “Source: David Ghasemi /KiTZ“.
Distribution of images to third parties is not permitted unless prior consent has been obtained from DKFZ's Press Office (phone: ++49-(0)6221 42 2854, E-mail: presse@dkfz.de). Any commercial use is prohibited.

About DKFZ

With more than 3,000 employees, the German Cancer Research Center (Deutsches Krebsforschungszentrum, DKFZ) is Germany’s largest biomedical research institute. DKFZ scientists identify cancer risk factors, investigate how cancer progresses and develop new cancer prevention strategies. They are also developing new methods to diagnose tumors more precisely and treat cancer patients more successfully. The DKFZ's Cancer Information Service (KID) provides patients, interested citizens and experts with individual answers to questions relating to cancer.

To transfer promising approaches from cancer research to the clinic and thus improve the prognosis of cancer patients, the DKFZ cooperates with excellent research institutions and university hospitals throughout Germany:

  • National Center for Tumor Diseases (NCT, 6 sites)
  • German Cancer Consortium (DKTK, 8 sites)
  • Hopp Children's Cancer Center (KiTZ) Heidelberg
  • Helmholtz Institute for Translational Oncology (HI-TRON Mainz) - A Helmholtz Institute of the DKFZ
  • DKFZ-Hector Cancer Institute at the University Medical Center Mannheim
  • National Cancer Prevention Center (jointly with German Cancer Aid)

The DKFZ is 90 percent financed by the Federal Ministry of Research, Technology and Space and 10 percent by the state of Baden-Württemberg. The DKFZ is a member of the Helmholtz Association of German Research Centers.

Form

Form data is loaded ...