Nr. 62

Mayerstiftung fördert Forschung zu Ewing-Sarkomen bei Kindern mit 1,5 Millionen Euro

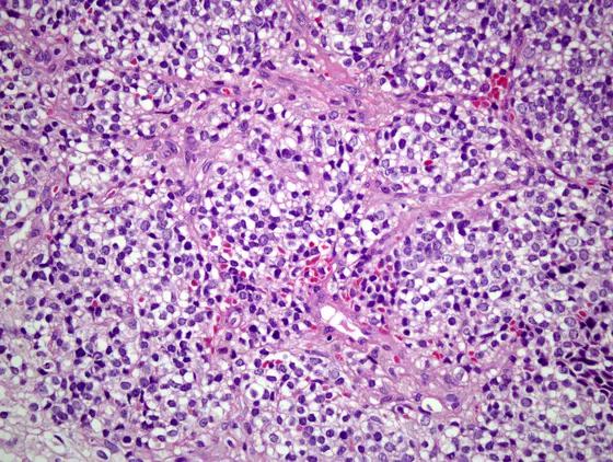
Ewing-Sarkom-Zellen sind klein, rund und undifferenziert. Sie lassen sich ohne molekulare Analysen nur schwer von anderen Tumorzellen abgrenzen, was die Diagnosestellung oft erschwert und verzögert.
Ewing-Sarkom-Zellen sind klein, rund und undifferenziert. Sie lassen sich ohne molekulare Analysen nur schwer von anderen Tumorzellen abgrenzen, was die Diagnosestellung oft erschwert und verzögert.

In einem neuen Forschungsverbund wollen Wissenschaftler des „Hopp-Kindertumorzentrum Heidelberg“ (KiTZ) gemeinsam mit Arbeitsgruppen der Ludwig-Maximilians-Universität München und des Westdeutschen Tumorzentrums Essen die Ewing-Sarkomforschung vorantreiben und Ansätze für neue Diagnose- und Therapieverfahren daraus ableiten. Die Gert und Susanna Mayer Stiftung fördert das Projekt, das über fünf Jahre laufen wird, mit 1,5 Millionen Euro. Das Hopp-Kindertumorzentrum Heidelberg (KiTZ) ist eine gemeinsame Einrichtung des Deutschen Krebsforschungszentrums (DKFZ), des Universitätsklinikums Heidelberg und der Universität Heidelberg.

Ewing-Sarkome sind nach Osteosarkomen die zweithäufigsten Knochentumoren im Kindes- und Jugendalter. Derzeitige Therapiestrategien führen bei etwa einem Drittel der Patienten zu Rückfällen – mit meist fatalem Ausgang. Obwohl das Verständnis über die Tumorbiologie des Ewing-Sarkoms in den letzten Jahren deutlich gestiegen ist, konnten die Heilungsraten bisher nicht relevant verbessert werden. Drei wissenschaftliche Arbeitsgruppen aus Heidelberg, München und Essen, die zum klinischen Netzwerk des Deutschen Krebskonsortiums (DKTK) gehören, wollen das nun ändern: In dem so genannten „Translationalen Ewing-Sarkomforschungsverbund“ wollen sie am Beispiel des Ewing-Sarkoms modellhaft erforschen, wie die angeborene genetische Vielfalt der Tumoren im Zusammenspiel mit erworbenen Genveränderungen den Krankheitsverlauf beeinflusst. Aus den Erkenntnissen ihrer Untersuchungen wollen sie Ansätze für die personalisierte Therapie von Tumoren im Kindes- und Jugendalter ableiten.

„Wir haben vor, einen Ewing-Sarkom-Genomatlas zu erstellen, der klinische, histologische sowie molekulargenetische Informationen von Ewing-Sarkomen und ähnlichen Tumoren umfasst“, so Stefan Pfister, Direktor des Präklinischen Programmes am KiTZ, Abteilungsleiter am Deutschen Krebsforschungszentrum (DKFZ) und Oberarzt am Universitätsklinikum Heidelberg (UKHD). Um Ansätze für eine mögliche Immuntherapie zu finden, charakterisieren die Forscher außerdem die Immunzellen, welche in Ewing-Sarkome einwandern, mit modernsten Technologien.

Aufgabe der Münchner Arbeitsgruppe wird es sein, mit Hilfe genetischer und epigenetischer Methoden die molekulare Vielfalt der Tumoren zu ergründen. „Wir werden nach Genen suchen, die bei der Vorhersage des Krankheitsverlaufes von Ewing-Sarkom-Patienten helfen können und eventuell als therapeutische Angriffspunkte in Frage kommen“, erklärt Thomas Grünewald, Leiter der Max-Eder Nachwuchsgruppe für Pädiatrische Sarkombiologie am Pathologischen Institut der Ludwig-Maximilians-Universität München (LMU).

Das Essener Team kümmert sich währenddessen um die Identifizierung und Validierung von Biomarkern, die das Ansprechen auf die Therapie vorhersagen können. Ein Schwerpunkt wird die Identifizierung von Biomarkern aus den so genannten Flüssigbiopsien (Liquid Biopsy) sein. Das Team hat große Expertise in der Analyse von flüssigen Patientenproben wie Blut, Knochenmark oder Urin. „Tumoren hinterlassen ihre Spuren in diesen Körperflüssigkeiten. Wir wollen die Spuren mit Hilfe der Liquid Biopsy lesen lernen“, so Uta Dirksen, Kinderonkologin, stellvertretende Direktorin der Kinderklinik III am Universitätsklinikum Essen und Leiterin der internationalen Cooperativen Ewing Sarkomstudiengruppe. „Auf diese Weise hoffen wir die Faktoren zu identifizieren, die zur Bildung von Mikrometastasen bei Ewing-Sarkomen führen“.

Gefördert wird das Verbundprojekt, das über einen Zeitraum von fünf Jahren laufen wird und im November dieses Jahres startet, von der Gert und Susanna Mayer Stiftung. Sie stellt 1,5 Millionen Euro dafür zur Verfügung.

Ein Bild zur Pressemitteilung steht zum Download zur Verfügung:
EwingSarkom_Histologie.jpg 
Bildunterschrift:
Ewing-Sarkom-Zellen sind klein, rund und undifferenziert. Sie lassen sich ohne molekulare Analysen nur schwer von anderen Tumorzellen abgrenzen, was die Diagnosestellung oft erschwert und verzögert.

Nutzungshinweis für Bildmaterial zu Pressemitteilungen
Die Nutzung ist kostenlos. Das Deutsche Krebsforschungszentrum (DKFZ) gestattet die einmalige Verwendung in Zusammenhang mit der Berichterstattung über das Thema der Pressemitteilung bzw. über das DKFZ allgemein. Bitte geben Sie als Bildnachweis an: „Quelle: Grünewald/LMU München“.
Eine Weitergabe des Bildmaterials an Dritte ist nur nach vorheriger Rücksprache mit der DKFZ-Pressestelle (Tel. 06221 42 2854, E-Mail: presse@dkfz.de) gestattet. Eine Nutzung zu kommerziellen Zwecken ist untersagt.

Über das DKFZ

Das Deutsche Krebsforschungszentrum (DKFZ) ist mit mehr als 3.000 Mitarbeiterinnen und Mitarbeitern die größte biomedizinische Forschungseinrichtung in Deutschland. Wissenschaftlerinnen und Wissenschaftler erforschen im DKFZ, wie Krebs entsteht, erfassen Krebsrisikofaktoren und suchen nach neuen Strategien, die verhindern, dass Menschen an Krebs erkranken. Sie entwickeln neue Methoden, mit denen Tumoren präziser diagnostiziert und Krebspatienten erfolgreicher behandelt werden können. Beim Krebsinformationsdienst (KID) des DKFZ erhalten Betroffene, Interessierte und Fachkreise individuelle Antworten auf alle Fragen zum Thema Krebs.

Um vielversprechende Ansätze aus der Krebsforschung in die Klinik zu übertragen und so die Chancen von Patientinnen und Patienten zu verbessern, betreibt das DKFZ gemeinsam mit exzellenten Universitätskliniken und Forschungseinrichtungen in ganz Deutschland Translationszentren:

  • Nationales Centrum für Tumorerkrankungen (NCT, 6 Standorte)
  • Deutsches Konsortium für Translationale Krebsforschung (DKTK, 8 Standorte)
  • Hopp-Kindertumorzentrum (KiTZ) Heidelberg
  • Helmholtz-Institut für translationale Onkologie (HI-TRON) Mainz – ein Helmholtz-Institut des DKFZ
  • DKFZ-Hector Krebsinstitut an der Universitätsmedizin Mannheim
  • Nationales Krebspräventionszentrum (gemeinsam mit der Deutschen Krebshilfe)

Das DKFZ wird zu 90 Prozent vom Bundesministerium für Forschung, Technologie und Raumfahrt und zu 10 Prozent vom Land Baden-Württemberg finanziert und ist Mitglied in der Helmholtz-Gemeinschaft Deutscher Forschungszentren.

Formular

Formulardaten werden geladen ...