No. 54

Taking a look at the genes of brain tumors may help making the right therapy decision

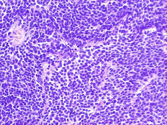
Diagnosis „primitive neuroectodermal tumor of the CNS": Tumor cells are small and poorly differentiated.
Diagnosis „primitive neuroectodermal tumor of the CNS": Tumor cells are small and poorly differentiated.

Researchers from the „Hopp-Children’s Cancer Center Heidelberg" (KiTZ) together with colleagues from the US, showed substantial molecular diversity behind seemingly similar embryonal brain tumors in children. The scientists could reveal the impact of identifying this molecular diversity on the diagnosis and treatment approach. The investigations, which were conducted in the context of a clinical study, were supported by the German Cancer Consortium (DKTK).

The “Hopp Children’s Cancer Center Heidelberg" (KiTZ) is a joint initiative of the German Cancer Research Center (DKFZ), Heidelberg University Hospital and Heidelberg University.

Brain tumors that look similar under the microscope can differ strongly on a molecular level - a distinction that should be considered when making treatment decisions. Children with embryonal brain tumors have to undergo intense and devastating therapies, with an overall limited curative outcome for some tumor subtypes. This holds true for “supratentorial primitive neuroectodermal tumors (sPNETs)": These tumors derive from immature cells of the central nervous system (CNS), growing particularly fast and aggressively.

The team surrounding Professor Stefan Pfister, KiTZ director, head of the “Pediatric Neurooncology" division of the DKFZ and senior physician at the Heidelberg University Hospital, conducted the study together with colleagues of the Fred Hutchinson Cancer Research Center (Seattle, USA) and the Children’s National Medical Center (Washington DC, USA). Using a state-of-the-art data analysis method, the researchers analyzed chemical gene modifications, so-called DNA methylation, within the patients` tumor tissue in the context of a phase-III clinical trial on sPNETs.

Molecular diagnostic tumor classification prior to treatment could prevent devastating therapies for many children. “An exact diagnosis and prognosis assessment for most children with CNS tumors is possible when histological examinations are combined with methylation analyses of the tumor DNA", says Professor Pfister, a main author of the study. “We can thus better estimate who would benefit from the intense radiation and chemotherapy and which treatment option should be used. This way we are able to save children from the side-effects of non-beneficial therapies."

In the context of this study the methylation analysis showed that fewer patients than assumed truly suffered from sPNET, but the majority had other tumor types such as glioblastoma, ependymoma or others that had been misdiagnosed. Accounting for these “false positives", the prognosis for sPNET is much better than previously assumed, with an increased chance of responding well to chemotherapy.

Since the molecular characterization of embryonal tumors of the central nervous system in children can therefore have a crucial impact on treatment types and therapy success, the researchers recommend to implement this method as a standard-of-care method for diagnosis.

 

Original publication:

Hwang et al. 2018: Extensive Molecular and Clinical Heterogeneity in Patients With Histologically Diagnosed CNS-PNET Treated as a Single Entity: A Report From the Children’s Oncology Group Randomized ACNS0332 Trial. DOI: 10.1200/JCO.2017.76.4720. Journal of Clinical Oncology – Online publication on October 17, 2018.

A picture is available for download:
PNET_FOXR2_HE.jpg

Note on use of images related to press releases 
Use is free of charge. The German Cancer Research Center (Deutsches Krebsforschungszentrum, DKFZ) permits one-time use in the context of reporting about the topic covered in the press release. Images have to be cited as follows: “Source: Dominik Sturm / KiTZ".
Distribution of images to third parties is not permitted unless prior consent has been obtained from DKFZ’s Press Office (phone: ++49-(0)6221 42 2854, E-mail: presse@dkfz.de). Any commercial use is prohibited.

About DKFZ

With more than 3,000 employees, the German Cancer Research Center (Deutsches Krebsforschungszentrum, DKFZ) is Germany’s largest biomedical research institute. DKFZ scientists identify cancer risk factors, investigate how cancer progresses and develop new cancer prevention strategies. They are also developing new methods to diagnose tumors more precisely and treat cancer patients more successfully. The DKFZ's Cancer Information Service (KID) provides patients, interested citizens and experts with individual answers to questions relating to cancer.

To transfer promising approaches from cancer research to the clinic and thus improve the prognosis of cancer patients, the DKFZ cooperates with excellent research institutions and university hospitals throughout Germany:

  • National Center for Tumor Diseases (NCT, 6 sites)
  • German Cancer Consortium (DKTK, 8 sites)
  • Hopp Children's Cancer Center (KiTZ) Heidelberg
  • Helmholtz Institute for Translational Oncology (HI-TRON Mainz) - A Helmholtz Institute of the DKFZ
  • DKFZ-Hector Cancer Institute at the University Medical Center Mannheim
  • National Cancer Prevention Center (jointly with German Cancer Aid)

The DKFZ is 90 percent financed by the Federal Ministry of Research, Technology and Space and 10 percent by the state of Baden-Württemberg. The DKFZ is a member of the Helmholtz Association of German Research Centers.

Form

Form data is loaded ...