No. 38c

New technique makes blood cancer cells visible for the immune system

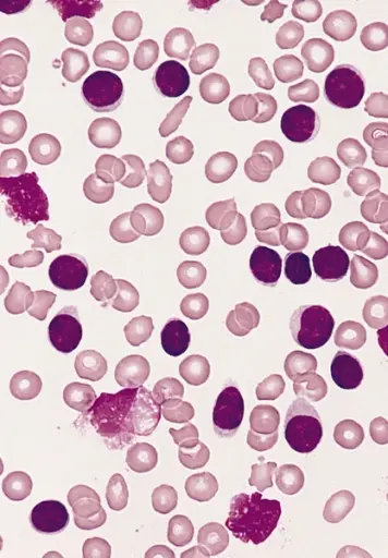
Chronic lymphocytic leukemia (CLL) is the most common type of blood cancer in adults. It can be treated with chemotherapy and oral drugs but this treatment cannot cure the cancer completely. Although the human immune system is capable of fighting the cancer cells, it often fails to notice them early enough. Scientists from the German Cancer Research Center (DKFZ) and Heidelberg University Hospital have developed a new method that tags leukemia cells with an easily noticeable label to make them visible for the immune system. In the Petri dish, immune cells that had been treated in this manner were able to eliminate CLL cells.

Approximately 13,700 people are diagnosed with leukemia in Germany annually, about half of them with chronic lymphocytic leukemia (CLL). This type of blood cancer occurs primarily in older adults and affects men slightly more often than women. In addition to chemotherapy, oral drugs are available to treat CLL.

“It is not possible to cure the disease completely with this treatment, but the cancer-related symptoms can be relieved,“ said Henri-Jacques Delecluse from the German Cancer Research Center (Deutsches Krebsforschungszentrum, DKFZ) in Heidelberg. Jointly with Peter Dreger from Heidelberg University Hospital, Delecluse and his colleagues have tested a new method in blood samples from patients with CLL. This method might be used to eliminate the cancer cells completely.

CLL cells are known for being very resistant against attacks from the immune system – partly because they are simply being overlooked by the immune cells. The Heidelberg researchers have now made CLL cells “visible“ for the immune system by labeling them with a strong antigen that is very noticeable. This enabled the immune cells to eliminate the malignant cells.

The twist about this method is that most people already have a supply of the immune cells that can destroy the labeled cancer cells in their body. “We use an antigen from the Epstein Barr virus to tag the CLL cells,“ Delecluse explains. Most people get infected with this member of the herpes family already in childhood and subsequently produce antibodies against it. In the age group of 40 or older, hardly anybody can be found who has not had contact with the virus. “We then exploit the virus-specific T cells for cancer therapy“, said the DKFZ researcher.

To tag the CLL cells, Delecluse and colleagues used specific antibodies against CLL surface proteins that were coupled with Epstein Barr viral proteins. Leukemia cells insert the antibody into the cell interior while presenting the antigen on their surface.

The DKFZ scientists tested their method in cancer cells obtained from the blood of twelve CLL patients. In the vast majority of investigations, immune cells succeeded in eliminating the cancer cells that displayed the antigen from the Epstein Barr virus.

The new approach by Delecluse and colleagues differs from commonly used immunotherapies where immune cells are usually stimulated to eliminate cancer cells more effectively. However, this can only work if the transformed cells present themselves to the immune cells, such as by cancer-specific antigens on their surface. “What we do is different,“ Delecluse said, describing the advantage of the new therapy. “We bring a very strong antigen into the cancer cells. Thus, we don't have to wait for the cancer cells to produce their own antibodies to be noticed by the immune system.“

What has worked well with cancer cells from the blood of CLL patients will now be tested in patients with this type of blood cancer. “The next step is a clinical trial in which CLL patients will be treated with the new method,“ Delecluse said. “If the therapy proves to be effective in CLL, we plan to examine its use to treat other types of blood cancer, too.“

Viktor Schneidt, Marta Ilecka, Peter Dreger, Dwain G. van Zyl, Susanne Fink, Josef Mautner, Henri-Jacques Delecluse. Antibodies conjugated with viral antigens elicit a cytotoxic T-cell response 2 against primary CLL ex vivo. Leukemia 2018, DOI: 10.1038/s41375-018-0160-7

About DKFZ

With more than 3,000 employees, the German Cancer Research Center (Deutsches Krebsforschungszentrum, DKFZ) is Germany’s largest biomedical research institute. DKFZ scientists identify cancer risk factors, investigate how cancer progresses and develop new cancer prevention strategies. They are also developing new methods to diagnose tumors more precisely and treat cancer patients more successfully. The DKFZ's Cancer Information Service (KID) provides patients, interested citizens and experts with individual answers to questions relating to cancer.

To transfer promising approaches from cancer research to the clinic and thus improve the prognosis of cancer patients, the DKFZ cooperates with excellent research institutions and university hospitals throughout Germany:

  • National Center for Tumor Diseases (NCT, 6 sites)
  • German Cancer Consortium (DKTK, 8 sites)
  • Hopp Children's Cancer Center (KiTZ) Heidelberg
  • Helmholtz Institute for Translational Oncology (HI-TRON Mainz) - A Helmholtz Institute of the DKFZ
  • DKFZ-Hector Cancer Institute at the University Medical Center Mannheim
  • National Cancer Prevention Center (jointly with German Cancer Aid)

The DKFZ is 90 percent financed by the Federal Ministry of Research, Technology and Space and 10 percent by the state of Baden-Württemberg. The DKFZ is a member of the Helmholtz Association of German Research Centers.

Form

Form data is loaded ...