No. 65

Intestinal stem cells drive age-related inflammation

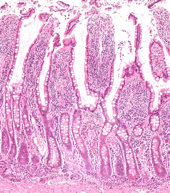
Intestinal stem cells are located deep at the bottom of the intestinal crypts.
Intestinal stem cells are located deep at the bottom of the intestinal crypts.

Chronic inflammation is a hallmark of ageing tissue, particularly in the intestine. Scientists from the German Cancer Research Center (DKFZ) have now shown in mice that ageing intestinal stem cells are key drivers of inflammation. They produce an important membrane protein that is recognized by T cells of the immune system, which in turn stimulate the process even further with their pro-inflammatory cytokines.

Hardly any other tissue has to cope with as many different tasks as the intestine. The intestinal epithelium is responsible for the absorption of all nutrients. It must also enable the immune defense against invasive pathogens and at the same time maintain tolerance to the multitude of microorganisms that together make up the intestinal microbiome. However, over the course of a lifetime, the intestinal epithelium often suffers from signs of ageing, which can impair the organ's ability to function and lead to disease.

“The permanent contact of the intestinal epithelium with the microbiome on the one hand and the immune cells on the other leads to chronic inflammation over the years, which is known as ‚inflammaging',“ says Maja Funk from the DKFZ. Funk and her colleagues at the DKFZ have now discovered that intestinal stem cells are an additional driver of this low-grade chronic inflammation.

The intestinal epithelium renews itself completely every four to seven days. Intestinal stem cells are responsible for this, constantly supplying the various types of specialized cells of the intestine. The stem cells are located at the base of tiny pits in the intestinal epithelium, known as crypts.

By analyzing gene activity of individual cells of the intestinal epithelium, the team defined reference levels for the activity of pro-inflammatory signaling pathways. These levels were lowest in young tissue, particularly in the cells of the crypts. As the progenitor cells mature, they ascend further and further into the crypt - whereby they exhibited increasingly higher inflammatory values. In the intestinal epithelial cells of older mice, the inflammation levels were generally higher.

The researchers were particularly struck by the fact that aged stem cells carried many more MHC class II molecules on their surface, which are an important marker for the immune system: “MHC II enables more interactions to occur between the stem cells and T cells of the immune system. And T cells are the main source of certain interferons and other pro-inflammatory messengers that further drive inflammation,“ explains Maja Funk.

Are the inflammatory characteristics of the aged intestinal stem cells due to the interaction with the immune cells? To find out, the researchers used mouse intestinal stem cells to grow miniature organs in the culture dish, so-called intestinal organoids, which mimic the structure of the intestinal epithelium with its crypts - but do not contain any immune cells. Organoids grown from aged mice showed increased inflammatory signatures, similar to those found in mice.

From this, the researchers conclude that the inflammatory changes in the intestinal epithelium are apparently an intrinsic process of the intestinal stem cells, which is further intensified by the external stimuli. The cause of the increasing inflammation with age is apparently an epigenetic remodeling of the genome in the ageing stem cells, which causes inflammation-promoting genes to be more strongly activated.

“With this work, we show for the first time that intestinal stem cells contribute to the phenomenon of “inflammaging“, which often characterizes aging tissue,“ explains Michael Boutros, head of department at the DKFZ and Dean of the Medical Faculty at Heidelberg University. “We cannot yet say to what extent these results obtained in model organisms can be transferred to the situation in humans. Our aim was to understand the basic mechanisms of chronic age-related inflammation. Chronic inflammation is a driver for various age-related diseases, including cancer. Our results could help to combat these diseases in the future.“

Maja C. Funk, Jan G. Gleixner, Florian Heigwer, Dominik Vonficht, Erica Valentini, Zeynep Aydin, Elena Tonin, Stefania Del Prete, Sylvia Mahara, Yannick Throm, Jenny Hetzer, Danijela Heide, Oliver Stegle, Duncan T. Odom, Angelika Feldmann, Simon Hass, Mathias Heikenwälder, Michael Boutros:
Aged intestinal stem cells propagate cell-intrinsic sources of Inflammaging in mice
Dev. CELL 2023, DOI: doi.org/10.1016/j.devcel.2023.11.013

About DKFZ

With more than 3,000 employees, the German Cancer Research Center (Deutsches Krebsforschungszentrum, DKFZ) is Germany’s largest biomedical research institute. DKFZ scientists identify cancer risk factors, investigate how cancer progresses and develop new cancer prevention strategies. They are also developing new methods to diagnose tumors more precisely and treat cancer patients more successfully. The DKFZ's Cancer Information Service (KID) provides patients, interested citizens and experts with individual answers to questions relating to cancer.

To transfer promising approaches from cancer research to the clinic and thus improve the prognosis of cancer patients, the DKFZ cooperates with excellent research institutions and university hospitals throughout Germany:

  • National Center for Tumor Diseases (NCT, 6 sites)
  • German Cancer Consortium (DKTK, 8 sites)
  • Hopp Children's Cancer Center (KiTZ) Heidelberg
  • Helmholtz Institute for Translational Oncology (HI-TRON Mainz) - A Helmholtz Institute of the DKFZ
  • DKFZ-Hector Cancer Institute at the University Medical Center Mannheim
  • National Cancer Prevention Center (jointly with German Cancer Aid)

The DKFZ is 90 percent financed by the Federal Ministry of Research, Technology and Space and 10 percent by the state of Baden-Württemberg. The DKFZ is a member of the Helmholtz Association of German Research Centers.

Form

Form data is loaded ...