No. 21

Childhood brain tumors develop early in highly specialized nerve cells

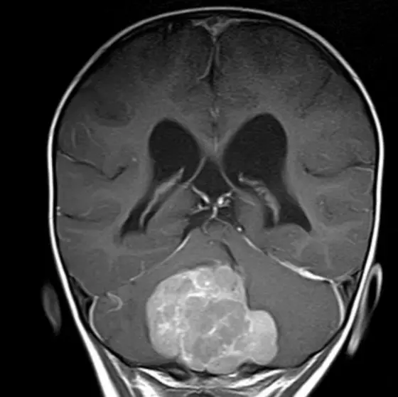
An MRI scan displays a cross-sectional view of the brain. A mass is visible in the lower frontal region, suggesting a possible tumor or abnormal growth. Surrounding brain structures appear normal, with clear outlines of the nasal passages and sinuses.
MRT Image of a medulloblastoma in the cerebellum of a child.

Medulloblastomas, childhood brain tumors in children, are thought to develop between the first trimester of pregnancy and the end of the first year of life. Researchers at the Hopp Children's Cancer Center Heidelberg (KiTZ), the German Cancer Research Center (DKFZ) and Heidelberg University Hospital (UKHD) have now published their findings in the journal Nature. They analyzed the genetic changes of each individual cancer cell in tumor samples in order to reconstruct which genetic changes occur first during tumor development and when.

 

The Hopp Children’s Cancer Center Heidelberg (KiTZ) is a joint institution of the German Cancer Research Center (DKFZ), Heidelberg University Hospital (UKHD) and the University of Heidelberg (Uni HD).

Medulloblastoma is one of the most common malignant tumors of the central nervous system (CNS) in children and adolescents. It develops in the area of the cerebellum, which is responsible for movement coordination, among other things. Medulloblastomas enlarge rapidly, often grow into surrounding tissue and can also form metastases. The wide variety of this tumor group also makes it difficult to find the right treatment. 

A team of researchers at the Hopp Children's Cancer Center Heidelberg (KiTZ), the German Cancer Research Center (DKFZ) and Heidelberg University Hospital (UKHD) has now investigated exactly where and when the most aggressive subgroups of these tumors develop in so-called single cell analyses. “We have genetically characterized the many thousands of individual cells from the tumor samples of numerous young patients with medulloblastoma,” explains Konstantin Okonechnikov, first author of the study from KiTZ and DKFZ. “This technology allows us to obtain a high-resolution picture of the genetic make-up within a tumor, so that we can reconstruct its developmental history fairly accurately.” 

Accordingly, there are “early” and “late” genetic changes within a tumor. Based on the distribution of the genetic changes across the various tumor cell clones, the scientists were able to reconstruct the development of the tumor. The study shows that the particularly aggressive medulloblastomas of subgroups three and four probably develop between the first trimester of pregnancy and the end of the first year of life. The origin of the tumor development are the precursor cells of highly specialized nerve cells, the so-called unipolar brush cells of the cerebellum, which also develop between the first trimester of pregnancy and the end of the first year of life. Large rearrangements of entire chromosomes or chromosome arms take place in these cells, presumably initially by chance, as the present results show: The cells loose or gain certain chromosomes.

“We assume that the early loss or gain of certain chromosomes is the first step in tumor development and that these occur many years before the clinical symptoms appear,” says Lena Kutscher from KiTZ and DKFZ, who led the study together with Stefan Pfister, Director at KiTZ, Head of Department at DKFZ and paediatric oncologist at Heidelberg University Hospital (UKHD).

Only the later tumor cells carry the already known duplications or alterations of the cancer genes MYC, MYCN or PRDM6 that are typical for these types of medulloblastoma. “We therefore assume that these cancer genes are responsible for the progressive tumor growth and also for the metastasis and therapy resistance that occurs, but not for the development of the tumor,” says Lena Kutscher.

Lena Kutscher explains what these results could mean for diagnosis and treatment: “If we succeed in developing sufficiently sensitive methods in the future to detect these early changes, for example as DNA fragments in the blood, this could form the basis for possible early detection in newborns and infants.”

Original publication
K. Okonechnikov et al.: Oncogene aberrations drive medulloblastoma progression, not initiation. In: Nature (Online Publication 7th of May 2025). DOI: 10.1038/s41586-025-08973-5

An Image for this press release is available for download at: 
https://www.kitz-heidelberg.de/fileadmin/_processed_/c/7/csm_240104-MBEN_MRT_9b7d579b3e.png

Caption: 
MRT Image of a medulloblastoma in the cerebellum of a child.

Note on use of images related to press releases 
Use is free of charge. The German Cancer Research Center (Deutsches Krebsforschungszentrum, DKFZ) permits one-time use in the context of reporting about the topic covered in the press release. Images have to be cited as follows: “Source: D. Ghasemi/KiTZ”.
Distribution of images to third parties is not permitted unless prior consent has been obtained from DKFZ’s Press Office (phone: ++49-(0)6221 42 2854, E-mail: presse@dkfz.de). Any commercial use is prohibited. 

Get in touch with us

Employee image

Press Contact

About DKFZ

With more than 3,000 employees, the German Cancer Research Center (Deutsches Krebsforschungszentrum, DKFZ) is Germany’s largest biomedical research institute. DKFZ scientists identify cancer risk factors, investigate how cancer progresses and develop new cancer prevention strategies. They are also developing new methods to diagnose tumors more precisely and treat cancer patients more successfully. The DKFZ's Cancer Information Service (KID) provides patients, interested citizens and experts with individual answers to questions relating to cancer.

To transfer promising approaches from cancer research to the clinic and thus improve the prognosis of cancer patients, the DKFZ cooperates with excellent research institutions and university hospitals throughout Germany:

  • National Center for Tumor Diseases (NCT, 6 sites)
  • German Cancer Consortium (DKTK, 8 sites)
  • Hopp Children's Cancer Center (KiTZ) Heidelberg
  • Helmholtz Institute for Translational Oncology (HI-TRON Mainz) - A Helmholtz Institute of the DKFZ
  • DKFZ-Hector Cancer Institute at the University Medical Center Mannheim
  • National Cancer Prevention Center (jointly with German Cancer Aid)

The DKFZ is 90 percent financed by the Federal Ministry of Research, Technology and Space and 10 percent by the state of Baden-Württemberg. The DKFZ is a member of the Helmholtz Association of German Research Centers.

Form

Form data is loaded ...