No. 43

Cancer stem cells in a tumor determine life expectancy in breast cancer patients

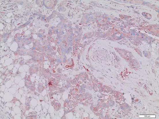
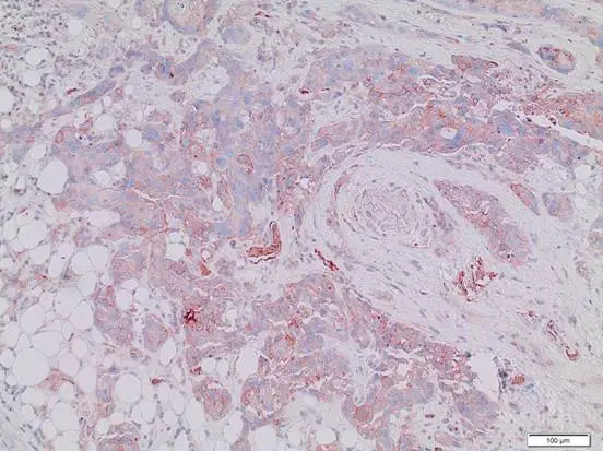
Breast cancer cells in glandular breast tissue. The cell walls stained in brown show the presence of stem cell markers CD47 or MET, respectively.
Breast cancer cells in glandular breast tissue. The cell walls stained in brown show the presence of stem cell markers CD47 or MET, respectively.

Scientists from the German Cancer Research Center (DKFZ) and the Institute of Pathology of Heidelberg University Hospital have examined tissue samples from 255 breast cancer tumors in search of two different stem cell markers. Cases where both of these markers were detected were correlated with a dramatic reduction in the life expectancy of patients. Conversely, patients whose tumors exhibited neither of the two markers survived about 10 years longer. The scientists now plan to investigate whether these two markers, found on the surface of breast cancer stem cells, can be used as targets for breast cancer treatments.

Nearly 90 percent of all breast cancer patients survive the first five years following their diagnosis. These positive statistics mask, however, the number of patients who develop metastases, the dreaded secondary tumors that are the main cause of cancer-related deaths. “So far, we do not have a method to predict whether or not a patient will develop metastases," Prof. Andreas Trumpp describes a current dilemma for clinical medicine. “That means we cannot tell which patients will benefit from a more intensive treatment regimen and which are unlikely to benefit from chemotherapy and can be spared the side effects of this aggressive treatment." Trumpp is a stem cell researcher who is head of DKFZ’s Division of Stem Cells and Cancer and director of the Heidelberg Institute for Stem Cell Technology and Experimental Medicine (HI-STEM) at the DKFZ, which is supported by the Dietmar Hopp Foundation.

By one year ago, the team had screened the blood of breast cancer patients for cancer stem cells, which are considered responsible for the development of metastases. Only a small, specific population of cancer cells that circulate through the body are truly capable of developing metastases, the scientists discovered. Such “metastatic" stem cells exhibit two stem cell markers, proteins called CD47 and MET, on their surfaces. The more of these cells that were detected in a patient’s blood, the higher the rate of metastasis in the patient. “We now hope to find out whether these stem cell markers and, thus, metastatic stem cells, can be detected in the primary tumors in the breast, and if so, whether their presence influences a patient’s chance of survival," Trumpp says.

His lab collaborated with Irene Baccelli of HI-STEM and Albrecht Stenzinger of the Institute of Pathology of Heidelberg University Hospital, who comes from the department headed by Professor Wilko Weichert. The two are first authors of a study which tested 255 breast cancer samples for the stem cell markers CD47 and MET. Subsequently, they compared the presence of the markers with survival data obtained from patients. They discovered that tumors which exhibited both markers simultaneously were strongly associated with a reduction in the life expectancy of patients.

“The results of the study were clear: Patients in whose tumors we detected both types of markers survived on average 10.3 years less after a diagnosis than patients whose tumors exhibited neither CD47 nor MET," Wilko Weichert says. “The presence of these two surface molecules can therefore serve as an indicator for the life expectancy of breast cancer patients." So far the findings are restricted to a particular type of breast cancer, known as estrogen-receptor-positive tumors.

“Beyond making a prognosis, we also want to help the patients, if possible," Trumpp says. The scientists therefore plan to examine whether drugs might help fight metastases in a targeted way. They plan to transfer the highly aggressive breast tumors to laboratory mice, which can then be treated using substances directed against the stem cell markers. “Several drugs that target CD47 or MET are in the final stages of development, and some are even already on the market," Trumpp says. “We hope that such drugs will soon provide a method to increase the life expectancy of breast cancer patients even further."

Irène Baccelli, Albrecht Stenzinger, Vanessa Vogel, Berit Maria Pfitzner, Corinna Klein, Markus Wallwiener, Martina Scharpff, Massimo Saini, Tim Holland-Letz, Hans-Peter Sinn, Andreas Schneeweiss, Carsten Denkert, Wilko Weichert , Andreas Trumpp: Co-expression of MET and CD47 is a novel prognosticator for survival of luminal-type breast cancer patients. Oncotarget (2014).

Background information:
Breast cancer is the most common cancer in women. The Centre for Cancer Registry Data at the Robert Koch Institute estimates that approximately one out of ten women will develop breast cancer in the course of her lifetime. At present about 75,000 women are newly diagnosed with cancer each year in Germany; 17,000 succumb to their disease. Breast cancer is also the most frequent topic of enquiries at DKFZ’s Cancer Information Service (KID): Almost 7,000 of approximately 30,000 enquiries that are made to the service by telephone or e-mail every year are about this topic. The questions people ask concern matters of breast cancer screening, treatment and living with breast cancer.

The Cancer Information Service answers your questions: Phone: 0800 - 420 30 40, free daily service offered from 8 am to 8 pm.
E-mail: krebsinformationsdienst@dkfz.de; www.krebsinformationsdienst.de

About DKFZ

With more than 3,000 employees, the German Cancer Research Center (Deutsches Krebsforschungszentrum, DKFZ) is Germany’s largest biomedical research institute. DKFZ scientists identify cancer risk factors, investigate how cancer progresses and develop new cancer prevention strategies. They are also developing new methods to diagnose tumors more precisely and treat cancer patients more successfully. The DKFZ's Cancer Information Service (KID) provides patients, interested citizens and experts with individual answers to questions relating to cancer.

To transfer promising approaches from cancer research to the clinic and thus improve the prognosis of cancer patients, the DKFZ cooperates with excellent research institutions and university hospitals throughout Germany:

  • National Center for Tumor Diseases (NCT, 6 sites)
  • German Cancer Consortium (DKTK, 8 sites)
  • Hopp Children's Cancer Center (KiTZ) Heidelberg
  • Helmholtz Institute for Translational Oncology (HI-TRON Mainz) - A Helmholtz Institute of the DKFZ
  • DKFZ-Hector Cancer Institute at the University Medical Center Mannheim
  • National Cancer Prevention Center (jointly with German Cancer Aid)

The DKFZ is 90 percent financed by the Federal Ministry of Research, Technology and Space and 10 percent by the state of Baden-Württemberg. The DKFZ is a member of the Helmholtz Association of German Research Centers.

Form

Form data is loaded ...