Nr. 15

Wechselwirkungen zwischen Tumor- und Bindegewebszellen fördern Metastasenbildung

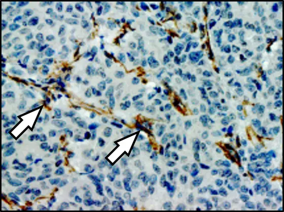
Lungenmetastase einer Brustkrebspatientin: Pfeile zeigen auf Bindegewebszellen (braun), die mit Krebszellen in der Metastase kommunizieren. Die Zellkerne sind blau gefärbt.
Lungenmetastase einer Brustkrebspatientin: Pfeile zeigen auf Bindegewebszellen (braun), die mit Krebszellen in der Metastase kommunizieren. Die Zellkerne sind blau gefärbt.

Damit sich abgesiedelte Krebszellen in anderen Organen niederlassen und zu Tochtergeschwülsten heranwachsen können, müssen sie ihre neue Umgebung manipulieren und sich eine so genannte metastatische Nische schaffen. Wissenschaftler vom Deutschen Krebsforschungszentrum und vom Heidelberger Institut für Stammzelltechnologie und Experimentelle Medizin* haben nun herausgefunden, dass einige Krebszellen die Bindegewebszellen in ihrer Umgebung dazu anregen, Botenstoffe auszuschütten, die die Metastasenbildung unterstützen. Diese Entdeckung trägt entscheidend zum besseren Verständnis bei, wie die gefürchteten Tochtergeschwülste entstehen können.

Wenn sich Krebszellen von einem Tumor lösen und im Körper auf Wanderschaft gehen, begeben sie sich in feindliches Terrain. Tatsächlich sterben viele abgesiedelte Krebszellen ab, bevor sie sich in anderen Geweben niederlassen und Metastasen bilden können. Denn die körpereigene Abwehr ist darauf ausgerichtet, gesunde Körpergewebe vor Eindringlingen aller Art zu schützen. Außerdem können eingewanderte Krebszellen nur überleben, wenn es ihnen gelingt, die Zellen in ihrer neuen Umgebung derart zu manipulieren, dass sich eine so genannte metastatische Nische bildet, die das Überleben der eingewanderten Krebszellen unterstützt.

Thordur Oskarsson untersucht mit seinem Team am Deutschen Krebsforschungszentrum (DKFZ) und am Heidelberger Institut für Stammzelltechnologie und Experimentelle Medizin (HI-STEM gGmbH), wie diese metastatische Nische entsteht. Jetzt haben die Wissenschaftler in Zellkulturen sowie durch Untersuchungen an Mäusen herausgefunden, dass einige besonders aggressive Brustkrebszellen eine entzündungsähnliche Situation im Lungengewebe verursachen. So sorgen sie letztlich dafür, dass sie sich hier einnisten und zu Metastasen heranwachsen können.

Konkret senden die abgesiedelten Tumorzellen zwei Entzündungsbotenstoffe aus, so genannte Interleukine, die Bindegewebszellen in der Lunge dazu anregen, selbst zwei weitere Entzündungssignale in die Umgebung abzugeben: CXCL9 und CXCL10. Diese heften sich wiederum an ein Rezeptormolekül, das einige aggressive eingewanderte Krebszellen auf ihrer Oberfläche tragen – ein entscheidender Schritt dafür, dass diese zu einer Metastase heranwachsen können. Diese aggressiven Brustkrebszellen profitieren demnach direkt von der Entzündungssituation und von den Botenstoffen CXCL9 und CXCL10.

„Interessanterweise besitzen genau die Tumorzellen, die die Bindegewebszellen dazu anregen CXCL9 und CXCL10 zu produzieren, auch den passenden Rezeptor für diese Botenstoffe, und profitieren so davon“, sagt Maren Pein, Erstautorin der Arbeit. „Das unterstreicht, wie entscheidend das zelluläre Zwiegespräch zwischen den abgesiedelten Krebszellen und den Fibroblasten in ihrer neuen Umgebung für die Entstehung von Metastasen ist.“

Mehr noch: Die Wissenschaftler konnten das Entstehen von Metastasen in der Lunge ihrer Versuchstiere verhindern, indem sie die Mäuse mit einem Hemmstoff behandelten, der das Rezeptormolekül auf den Krebszellen blockiert.

Dass diese zelluläre Interaktion wahrscheinlich auch bei Brustkrebspatientinnen eine Rolle spielt, zeigen Tumorgewebeproben von betroffenen Frauen: So lassen sich Krebszellen, die auf ihrer Oberfläche den entsprechenden Rezeptor tragen und daher die Wechselwirkung mit Fibroblasten zur Metastasenbildung nutzen könnten, auch bei Patientinnen mit metastasiertem Brustkrebs finden.

Um von diesen Erkenntnissen auf einen neuen Behandlungsansatz zu schließen, sei es noch zu früh, wie Oskarsson betont. „Unsere Arbeit dient zunächst einmal dazu, die grundlegenden Mechanismen zu verstehen, die notwendig sind, damit Metastasen überhaupt entstehen können“, erklärt der Wissenschaftler. „Aber natürlich hoffen wir, dass dieses bessere Verständnis dazu führt, dass wir in der Zukunft Metastasen verhindern können.“

*Das Heidelberger Institut für Stammzelltechnologie und Experimentelle Medizin (HI-STEM gGmbH) ist eine Partnerschaft des DKFZ und der Dietmar Hopp Stiftung

Maren Pein, Jacob Insua-Rodríguez, Tsunaki Hongu, Angela Riedel, Jasmin Meier, Lena Wiedmann, Kristin Decker, Marieke A.G. Essers, Hans-Peter Sinn, Saskia Spaich, Marc Sütterlin, Andreas Schneeweiss, Andreas Trumpp and Thordur Oskarsson: Metastasis-initiating cells induce and exploit a fibroblast niche to fuel malignant colonization of the lungs
Nature Communications 2002, DOI: 10.1038/s41467-020-15188-x

Ein Bild zur Pressemitteilung steht zur Verfügung unter:
https://www.dkfz.de/de/presse/pressemitteilungen/2020/bilder/Lungenmetastase.jpg

BU: Lungenmetastase einer Brustkrebspatientin: Pfeile zeigen auf Bindegewebszellen (braun), die mit Krebszellen in der Metastase kommunizieren. Die Zellkerne sind blau gefärbt.

 

Nutzungshinweis für Bildmaterial zu Pressemitteilungen

Die Nutzung ist kostenlos. Das Deutsche Krebsforschungszentrum (DKFZ) gestattet die einmalige Verwendung in Zusammenhang mit der Berichterstattung über das Thema der Pressemitteilung bzw. über das DKFZ allgemein. Als Bildnachweis ist folgendes anzugeben: „Quelle: Oskarsson, DKFZ/HI-STEM“.
Eine Weitergabe des Bildmaterials an Dritte ist nur nach vorheriger Rücksprache mit der DKFZ-Pressestelle (Tel. 06221 42 2854, E-Mail: presse@dkfz.de) gestattet. Eine Nutzung zu kommerziellen Zwecken ist untersagt.

Über das DKFZ

Das Deutsche Krebsforschungszentrum (DKFZ) ist mit mehr als 3.000 Mitarbeiterinnen und Mitarbeitern die größte biomedizinische Forschungseinrichtung in Deutschland. Wissenschaftlerinnen und Wissenschaftler erforschen im DKFZ, wie Krebs entsteht, erfassen Krebsrisikofaktoren und suchen nach neuen Strategien, die verhindern, dass Menschen an Krebs erkranken. Sie entwickeln neue Methoden, mit denen Tumoren präziser diagnostiziert und Krebspatienten erfolgreicher behandelt werden können. Beim Krebsinformationsdienst (KID) des DKFZ erhalten Betroffene, Interessierte und Fachkreise individuelle Antworten auf alle Fragen zum Thema Krebs.

Um vielversprechende Ansätze aus der Krebsforschung in die Klinik zu übertragen und so die Chancen von Patientinnen und Patienten zu verbessern, betreibt das DKFZ gemeinsam mit exzellenten Universitätskliniken und Forschungseinrichtungen in ganz Deutschland Translationszentren:

  • Nationales Centrum für Tumorerkrankungen (NCT, 6 Standorte)
  • Deutsches Konsortium für Translationale Krebsforschung (DKTK, 8 Standorte)
  • Hopp-Kindertumorzentrum (KiTZ) Heidelberg
  • Helmholtz-Institut für translationale Onkologie (HI-TRON) Mainz – ein Helmholtz-Institut des DKFZ
  • DKFZ-Hector Krebsinstitut an der Universitätsmedizin Mannheim
  • Nationales Krebspräventionszentrum (gemeinsam mit der Deutschen Krebshilfe)

Das DKFZ wird zu 90 Prozent vom Bundesministerium für Forschung, Technologie und Raumfahrt und zu 10 Prozent vom Land Baden-Württemberg finanziert und ist Mitglied in der Helmholtz-Gemeinschaft Deutscher Forschungszentren.

Formular

Formulardaten werden geladen ...