Nr. 41c

Therapien für ältere Leukämiepatienten

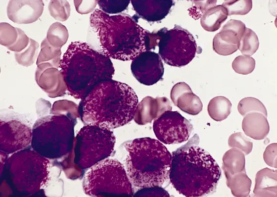
Bei Patienten, die an einer AML erkrankt sind, enthält das Knochenmark viel zu viele unreife myeloische Zellen.
Bei Patienten, die an einer AML erkrankt sind, enthält das Knochenmark viel zu viele unreife myeloische Zellen.

Die Deutsche Forschungsgemeinschaft (DFG) fördert eine neue Forschergruppe am Deutschen Krebsforschungszentrum und an der Universität und am Universitätsklinikum Freiburg. Die Wissenschaftler wollen gemeinsam die akute myeloische Leukämie (AML) untersuchen – aus grundlagenwissenschaftlicher und aus klinischer Perspektive. Die DFG unterstützt das Vorhaben in den kommenden drei Jahren mit knapp 4,2 Millionen Euro.

Die AML, eine bösartige Erkrankung des Blutes, wird jährlich bei etwa 3.000 Menschen in Deutschland diagnostiziert. Sie tritt vor allem bei Menschen auf, die älter als 60 Jahre sind. Die AML macht etwa 80 Prozent aller akuten Leukämien bei Erwachsenen aus. Die Forschergruppe „Alters-assozierte epigenetische Veränderungen als therapeutischer Ansatzpunkt in der Behandlung der akuten myeloischen Leukämie“ will epigenetische Veränderungen bei leukämischen Stammzellen analysieren, die vor allem bei älteren Menschen auftreten und zur Entwicklung der AML führen können. Sprecher ist Michael Lübbert aus der Klinik für Innere Medizin I des Universitätsklinikums Freiburg, der zusammen mit Christoph Plass vom Deutschen Krebsforschungszentrum das Projekt koordiniert.

Die Epigenetik befasst sich mit Mechanismen der Vererbung, die ohne eine Änderung der DNA-Sequenz auftreten. Es handelt sich um dynamische Veränderungen, bei denen wechselnde Umweltbedingungen wie beispielsweise Ernährung, Stress oder Medikamente epigenetische Muster hinterlassen. Epigenetische Mechanismen bestimmen also, welche Gene zu welchem Zeitpunkt aktiviert oder stillgelegt werden.

Das besondere Augenmerk der Wissenschaftler gilt zum einen den Interaktionen zwischen den genetischen Veränderungen, die bei der AML auftreten, und dem Epigenom – der Gesamtheit der epigenetischen Muster – von leukämischen Stammzellen unterschiedlicher Alterungsphasen. Weiterhin ist eine Weiterentwicklung bereits etablierter epigenetischer Therapieansätze und deren möglichst zügige klinische Umsetzung, insbesondere bei älteren Patienten mit AML ein besonderes Anliegen des Konsortiums. „Gerade bei AML Patienten im fortgeschrittenen Alter fehlen heute wirksame und verträgliche Therapien. Hier besteht großer Forschungsbedarf. Die Förderung durch die DFG ermöglicht uns, besonders aussichtsreiche Ansätze weiterzuverfolgen und möglicherweise bis in die klinische Prüfung zu bringen“, freut sich Christoph Plass über die Entscheidung der DFG.

Mit Forschergruppen und Klinischen Forschergruppen unterstützt die DFG Arbeitsbündnisse, die sich gemeinsam einer Forschungsaufgabe widmen. Auf diese Weise sollen Ergebnisse ermöglicht werden, die sich im Rahmen einer Einzelförderung in der Regel nicht realisieren lassen.

Über das DKFZ

Das Deutsche Krebsforschungszentrum (DKFZ) ist mit mehr als 3.000 Mitarbeiterinnen und Mitarbeitern die größte biomedizinische Forschungseinrichtung in Deutschland. Wissenschaftlerinnen und Wissenschaftler erforschen im DKFZ, wie Krebs entsteht, erfassen Krebsrisikofaktoren und suchen nach neuen Strategien, die verhindern, dass Menschen an Krebs erkranken. Sie entwickeln neue Methoden, mit denen Tumoren präziser diagnostiziert und Krebspatienten erfolgreicher behandelt werden können. Beim Krebsinformationsdienst (KID) des DKFZ erhalten Betroffene, Interessierte und Fachkreise individuelle Antworten auf alle Fragen zum Thema Krebs.

Um vielversprechende Ansätze aus der Krebsforschung in die Klinik zu übertragen und so die Chancen von Patientinnen und Patienten zu verbessern, betreibt das DKFZ gemeinsam mit exzellenten Universitätskliniken und Forschungseinrichtungen in ganz Deutschland Translationszentren:

  • Nationales Centrum für Tumorerkrankungen (NCT, 6 Standorte)
  • Deutsches Konsortium für Translationale Krebsforschung (DKTK, 8 Standorte)
  • Hopp-Kindertumorzentrum (KiTZ) Heidelberg
  • Helmholtz-Institut für translationale Onkologie (HI-TRON) Mainz – ein Helmholtz-Institut des DKFZ
  • DKFZ-Hector Krebsinstitut an der Universitätsmedizin Mannheim
  • Nationales Krebspräventionszentrum (gemeinsam mit der Deutschen Krebshilfe)

Das DKFZ wird zu 90 Prozent vom Bundesministerium für Forschung, Technologie und Raumfahrt und zu 10 Prozent vom Land Baden-Württemberg finanziert und ist Mitglied in der Helmholtz-Gemeinschaft Deutscher Forschungszentren.

Formular

Formulardaten werden geladen ...