Nr. 26c

Test zur besseren Prävention von Gebärmutterhalskrebs erhält FDA-Zulassung

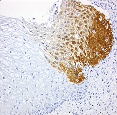
Gewebeschnitt vom Gebärmutterhals: Die braune Färbung ist ein Indiz für bösartig veränderte Zellen.
Gewebeschnitt vom Gebärmutterhals: Die braune Färbung ist ein Indiz für bösartig veränderte Zellen.

Frauen, die mit Hochrisikotypen der humanen Papillomviren (HPV) infiziert sind, haben ein hohes Risiko, an Gebärmutterhalskrebs zu erkranken. Ein Test kann Ärzten dabei helfen, dieses Risiko besser einzuschätzen und diejenigen Frauen zu identifizieren, die sofort zur weiteren diagnostischen Abklärung überwiesen werden sollten. Das Testverfahren hat nun die Zulassung der US-amerikanischen Gesundheitsbehörde FDA erhalten und steht damit bald Ärzten und Patientinnen breit zur Verfügung. Der Test wurde von der mtm Laboratories AG entwickelt, einer Ausgründung aus dem Deutschen Krebsforschungszentrum und dem Universitätsklinikum Heidelberg, die 2011 von Roche übernommen wurde.

Mit dem Ziel, den Nachweis des Krebsproteins p16 als diagnostischen Test zur Früherkennung von Gebärmutterhalskrebs zu entwickeln, hatten Wissenschaftler um Magnus von Knebel Doeberitz vom Deutschen Krebsforschungszentrum (DKFZ) und vom Universitätsklinikum Heidelberg 1999 das Unternehmen mtm laboratories („molecular tools in medicine“) gegründet. Die Firma war eine der ersten Ausgründungen, an der das DKFZ Anteile hielt.

Das Unternehmen entwickelte den Test und brachte ihn unter dem Namen CINtec PLUS auf den Markt. Das immunhistologische Verfahren weist das gleichzeitige Vorhandensein der beiden Biomarker p16 und Ki-67 in einer einzigen Zelle nach. Ein positives Ergebnis signalisiert, dass eine HPV-infizierte Frau schon eine Krebsvorstufe entwickelt hat, die der sofortigen klinischen Abklärung bedarf. HPV-positive Frauen dagegen, bei denen der Test negativ ausfällt, haben keine Krebsvorstufe entwickelt, daher können die weiteren Vorsorgeintervalle wesentlich verlängert werden.

2011 wurde mtm laboratories von Roche übernommen, einem international führenden Anbieter von Diagnostika und Therapeutika. Roche erhielt nun die Zulassung der US-amerikanischen FDA (Food and Drug Administration) für CINtec PLUS zur Unterstützung von Klinikern bei der Verbesserung der Prävention von Gebärmutterhalskrebs. FDA-Zulassungen beruhen auf sehr aufwändigen Studien an vielen Tausenden Teilnehmern, bislang gibt es nur wenige Beispiele von Produkten deutscher Biotechunternehmen, die diese Hürde genommen haben. Es wird erwartet, dass der Test im Laufe des Jahres 2020 in den USA auf breiter Basis kommerziell verfügbar sein wird.

Die CINtec PLUS-Zytologie liefert entscheidende Informationen darüber, welche HPV-positiven Frauen am meisten von einer sofortigen Überweisung zur Kolposkopie profitieren können. Dies ist ein wichtiger Schritt, um die Betreuung der Patientinnen zu individualisieren und sowohl eine Über- als auch eine Unterbehandlung zu verhindern.

„Eine beispielhafte Erfolgsgeschichte“ nennt Rainer Wessel, Chief Innovation Officer am DKFZ, die Entstehungsgeschichte des Testverfahrens. „Dank der Initiative der Firmengründer um Magnus von Knebel Doeberitz steht demnächst ein wichtiger Krebstest weltweit zur Verfügung, denn FDA-Zulassungen haben in der Regel Signalcharakter für die Zulassungsbehörden anderer Länder. Das Beispiel zeigt, dass Ausgründungen eine hervorragende Möglichkeit sind, vielversprechende Erfindungen aus der Grundlagenforschung zu einem marktfähigen Produkt weiterzuentwickeln. Das DKFZ unterstützt Erfinder auf diesem Weg in allen Phasen.“

Über das DKFZ

Das Deutsche Krebsforschungszentrum (DKFZ) ist mit mehr als 3.000 Mitarbeiterinnen und Mitarbeitern die größte biomedizinische Forschungseinrichtung in Deutschland. Wissenschaftlerinnen und Wissenschaftler erforschen im DKFZ, wie Krebs entsteht, erfassen Krebsrisikofaktoren und suchen nach neuen Strategien, die verhindern, dass Menschen an Krebs erkranken. Sie entwickeln neue Methoden, mit denen Tumoren präziser diagnostiziert und Krebspatienten erfolgreicher behandelt werden können. Beim Krebsinformationsdienst (KID) des DKFZ erhalten Betroffene, Interessierte und Fachkreise individuelle Antworten auf alle Fragen zum Thema Krebs.

Um vielversprechende Ansätze aus der Krebsforschung in die Klinik zu übertragen und so die Chancen von Patientinnen und Patienten zu verbessern, betreibt das DKFZ gemeinsam mit exzellenten Universitätskliniken und Forschungseinrichtungen in ganz Deutschland Translationszentren:

  • Nationales Centrum für Tumorerkrankungen (NCT, 6 Standorte)
  • Deutsches Konsortium für Translationale Krebsforschung (DKTK, 8 Standorte)
  • Hopp-Kindertumorzentrum (KiTZ) Heidelberg
  • Helmholtz-Institut für translationale Onkologie (HI-TRON) Mainz – ein Helmholtz-Institut des DKFZ
  • DKFZ-Hector Krebsinstitut an der Universitätsmedizin Mannheim
  • Nationales Krebspräventionszentrum (gemeinsam mit der Deutschen Krebshilfe)

Das DKFZ wird zu 90 Prozent vom Bundesministerium für Forschung, Technologie und Raumfahrt und zu 10 Prozent vom Land Baden-Württemberg finanziert und ist Mitglied in der Helmholtz-Gemeinschaft Deutscher Forschungszentren.

Formular

Formulardaten werden geladen ...