Nr. 02

Kaum Nachschub aus dem Knochenmark: Makrophagen im Gewebe erneuern sich (meist) selbst

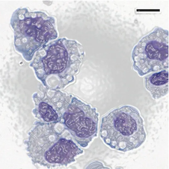
Mikroskopische Aufnahme von Makrophagen aus dem Dottersack. Makrophagen in erwachsenen Geweben stammen aus diesem frühen Stadium der Entwicklung und unterscheiden sich dadurch von allen anderen Zellen des Immunsystems, die aus Stammzellen im Knochenmark gebildet werden.
Mikroskopische Aufnahme von Makrophagen aus dem Dottersack. Makrophagen in erwachsenen Geweben stammen aus diesem frühen Stadium der Entwicklung und unterscheiden sich dadurch von allen anderen Zellen des Immunsystems, die aus Stammzellen im Knochenmark gebildet werden.

Die meisten Zellen des Blutes stammen von Stammzellen im Knochenmark ab. Makrophagen, Fresszellen des Immunsystems, bilden eine Ausnahme. Wissenschaftler des Deutschen Krebsforschungszentrums in Heidelberg haben gemeinsam mit Kollegen vom englischen Kings College herausgefunden, dass die Ursprünge der meisten Makrophagen im Dottersack liegen, einem embryonalen Gewebe, von dem aus Vorläuferzellen der Makrophagen die verschiedenen Gewebe besiedeln. Dort erneuern sie sich selbst. Erst bei Entzündungen und anderen krankhaften Prozessen werden Makrophagen aus dem Knochenmark ergänzt. Die Ergebnisse werfen ein neues Licht auf diese Immunzellen, die zwar schon vor 150 Jahren entdeckt wurden, deren Herkunft und Entwicklung jedoch immer noch wenig verstanden war. Die Wissenschaftler haben ihre Arbeit gerade in der Zeitschrift „Nature“ veröffentlicht.

Makrophagen sind Zellen des Immunsystems. Ihrem griechischen Namen nach sind sie große Fresszellen: Im Gewebe erkennen sie sowohl fremde Eindringlinge (Erreger) als auch gealterte körpereigene Zellen, nehmen diese auf und verdauen sie in ihrem Inneren. Dabei verfügt jedes Gewebe über gewebetypische, „eigene“ Makrophagen: So heißen sie in der Leber Kupffer-Zellen, im Knochen Osteoklasten, in der Lunge Alveolarmakrophagen und im Gehirn Mikroglia.

Dass man diese Gewebezellen den Blutzellen zurechnet, hängt damit zusammen, dass sie sich im Labor aus bestimmten weißen Blutkörperchen, den Monozyten, züchten lassen. „Deshalb galt es bisher als gesichert, dass die Makrophagen auch aus Stammzellen im Knochenmark entstehen“, erklärt Hans-Reimer Rodewald vom Deutschen Krebsforschungszentrum. „Unsere neuen Ergebnisse stellen dieses Lehrbuchwissen nun in Frage.“

Während der frühen Embryonalentwicklung entstehen die ersten Blutzellen im Dottersack, einem Nährgewebe des Embryos, das im Verlauf der Entwicklung verschwindet. Danach übernimmt zunächst die fötale Leber, später das Knochenmark die lebenswichtige Aufgabe, ständig Nachschub an roten und weißen Blutkörperchen zu liefern. „Wir wollten wissen, ob das auch für die Gewebemakrophagen gilt“, erklärt Rodewald, „denn einiges sprach dafür, dass es für diese ungewöhnlichen Zellen auch andere Quellen gibt.“

Die Wissenschaftler um Rodewald markierten daraufhin Vorläuferzellen mit einem fluoreszierenden Protein, um verfolgen zu können, wann während der Entwicklung die Makrophagen entstehen und in welchem Gewebe dies geschieht. Das Anfärben gelang über einen Genschalter, den Katrin Busch, Doktorandin in Rodewalds Labor, entwickelt hatte. „Wir haben gesehen, dass die Gewebemakrophagen ganz früh während der Embryonalphase entstehen, und zwar aus Vorläufern im Dottersack“, berichtet Kay Klapproth, einer der beiden Erstautoren der Studie. „Das bedeutet, dass die Makrophagen, im Gegensatz zu unserer bisherigen Vorstellung, ihren Nachschub nicht aus dem Knochenmark erhalten, sondern sich vor Ort, also im Gewebe selbst, unabhängig erneuern.“

„Dies gilt zunächst für Makrophagen in normalem gesundem Gewebe“, sagt Rodewald, „bei größerem Bedarf bei Entzündungen oder Verlust von Makrophagen können offenbar die Monozyten aus dem Knochenmark für Nachschub an Gewebemakrophagen sorgen.“ Ob diese Ersatzmakrophagen die gleichen Aufgaben übernehmen wie die „herkömmlichen“ Makrophagen, ist noch unklar.

Daher interessieren sich die Wissenschaftler nun für die Frage, wie sich die ursprünglichen Makrophagen aus dem Dottersack von den „Notfall-Makrophagen“ aus dem Knochenmark unterscheiden. „Bei bestimmten Krebsarten können Makrophagen wahrscheinlich zum Ausbreiten der Tumorzellen beitragen. In anderen Fällen werden ihnen eher tumorhemmende Funktionen zugeschrieben“, beschreibt Kay Klapproth die interessante Ausgangssituation. Es ist gegenwärtig unklar, ob diese gegensätzlichen Funktionen möglicherweise mit der unterschiedlichen Herkunft der Makrophagen in Verbindung stehen. Für die Krebstherapie wäre es erstrebenswert, die „schädlichen“ Makrophagen zu bekämpfen und die „nützlichen“ gezielt zu aktivieren. Doch bisher kann man die beiden Zellarten noch nicht voneinander unterscheiden. „Es wäre spannend, wenn man mithilfe unserer neuen Erkenntnisse die Makrophagen aufgrund ihrer Herkunft in verschiedene Klassen einteilen könnte“, blickt Hans-Reimer Rodewald in die Zukunft.

Elisa Gomez Perdiguero, Kay Klapproth, Christian Schulz, Katrin Busch, Emanuele Azzoni, Lucile Crozet, Hannah Garner, Celine Trouillet, Marella F. de Bruijn, Frederic Geissmann, Hans-Reimer Rodewald: Tissue-resident macrophages originate from yolk-sac-derived erythro-myeloid progenitors. Nature 2014, DOI 10.1038/nature13989

Über das DKFZ

Das Deutsche Krebsforschungszentrum (DKFZ) ist mit mehr als 3.000 Mitarbeiterinnen und Mitarbeitern die größte biomedizinische Forschungseinrichtung in Deutschland. Wissenschaftlerinnen und Wissenschaftler erforschen im DKFZ, wie Krebs entsteht, erfassen Krebsrisikofaktoren und suchen nach neuen Strategien, die verhindern, dass Menschen an Krebs erkranken. Sie entwickeln neue Methoden, mit denen Tumoren präziser diagnostiziert und Krebspatienten erfolgreicher behandelt werden können. Beim Krebsinformationsdienst (KID) des DKFZ erhalten Betroffene, Interessierte und Fachkreise individuelle Antworten auf alle Fragen zum Thema Krebs.

Um vielversprechende Ansätze aus der Krebsforschung in die Klinik zu übertragen und so die Chancen von Patientinnen und Patienten zu verbessern, betreibt das DKFZ gemeinsam mit exzellenten Universitätskliniken und Forschungseinrichtungen in ganz Deutschland Translationszentren:

  • Nationales Centrum für Tumorerkrankungen (NCT, 6 Standorte)
  • Deutsches Konsortium für Translationale Krebsforschung (DKTK, 8 Standorte)
  • Hopp-Kindertumorzentrum (KiTZ) Heidelberg
  • Helmholtz-Institut für translationale Onkologie (HI-TRON) Mainz – ein Helmholtz-Institut des DKFZ
  • DKFZ-Hector Krebsinstitut an der Universitätsmedizin Mannheim
  • Nationales Krebspräventionszentrum (gemeinsam mit der Deutschen Krebshilfe)

Das DKFZ wird zu 90 Prozent vom Bundesministerium für Forschung, Technologie und Raumfahrt und zu 10 Prozent vom Land Baden-Württemberg finanziert und ist Mitglied in der Helmholtz-Gemeinschaft Deutscher Forschungszentren.

Formular

Formulardaten werden geladen ...