Nr. 30

DKTK Essen/Düsseldorf: Neue Erkenntnisse unterstützen Immuntherapie bei Hautkrebs

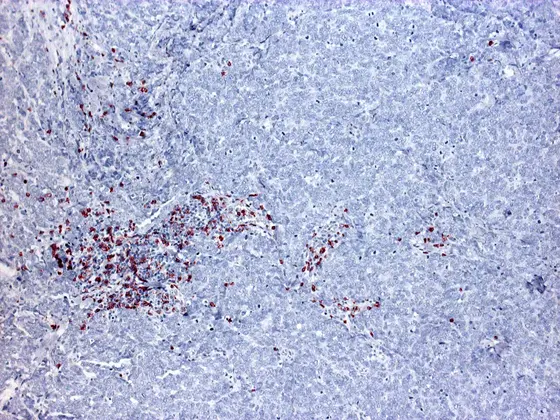
Gewebeschnitt durch ein Merkelzellkarzinom. Die T-Zellen der Immunabwehr (rot) erkennen die Tumorzellen (hellblau) nicht und dringen deshalb nicht in das Innere des Tumors ein.
Gewebeschnitt durch ein Merkelzellkarzinom. Die T-Zellen der Immunabwehr (rot) erkennen die Tumorzellen (hellblau) nicht und dringen deshalb nicht in das Innere des Tumors ein.

Merkelzellkarzinome der Haut sind für die körpereigene Abwehr häufig unsichtbar, weil sie Gene des Immunsystems gezielt stilllegen. Wissenschaftler des Deutschen Konsortiums für Translationale Krebsforschung (DKTK) an der Medizinischen Fakultät der Universität Duisburg Essen am Universitätsklinikum Essen haben einen Weg gefunden, den Tumor wieder zur Zielscheibe der Immunabwehr werden zu lassen. Immuntherapeutische Ansätze bei Hautkrebs könnten damit deutlich wirksamer werden. Im DKTK verbindet sich das Deutsche Krebsforschungszentrum (DKFZ) in Heidelberg als Kernzentrum langfristig mit onkologisch besonders ausgewiesenen universitären Partnerstandorten in Deutschland.

Die Immuntherapie gehört heute zu den erfolgversprechendsten Behandlungsmethoden einiger Hautkrebsarten. Auch beim Merkelzellkarzinom, einer seltenen, aber besonders aggressiven Hautkrebsform, kommen unterschiedliche Immuntherapeutika zum Einsatz. Derzeit profitiert jedoch nur etwa die Hälfte der Patienten davon.

Die Ursache liegt in der molekularen Beschaffenheit des Immunsystems und wie die Krebszellen es manipulieren. Schon in früheren Studien war aufgefallen, dass Merkelzell-Tumoren von der Abwehr einiger Patienten unentdeckt bleiben, weil sie keine Leukozytenantigene auf der Zelloberfläche tragen. Das Leukozytenantigen-System spielt beim Menschen eine zentrale Rolle, um Tumorzellen für die Zerstörung durch Abwehrzellen zu markieren.

In der aktuellen Studie fanden Wissenschaftler des Deutschen Konsortiums für Translationale Krebsforschung (DKTK) am Universitätsklinikum Essen erstmals heraus, wie die Tumorzellen diese spezielle Tarnung gelingt. Der Tumor nutzt sogenannte epigenetische Mechanismen, um Gene, die für die Präsentation der Antigene essentiell sind, zum Schweigen zu bringen.
„Die Mehrzahl der Merkellzellkarzinome in Europa entstehen durch eine Infektion mit dem Merkelzell-Polyomavirus, der die Epigenetik der Tumorzellen stark verändert“, erklärt Professor Jürgen Becker, Letztautor der Studie und Leiter der DKTK Arbeitsgruppe für translationale Hautkrebsforschung am Universitätsklinikum Essen. “In den umprogrammierten Krebszellen wird ein wichtiges chemisches Lesezeichen, die Histon-Acetylierung, entfernt. Dadurch werden verschiedene Immungene abgeschaltet. Das Phänomen ist auch als „epigenetic silencing“ bekannt.“ Gene, die an der Präsentation der Tumor-Antigene auf den Oberflächen der Krebszellen beteiligt sind, werden dadurch stillgelegt und die Tumorzellen nicht mehr vom Immunsystem erkannt.

Gemeinsam mit Kollegen von der University of Washington und dem Massachusetts General Hospital in Boston fanden die Wissenschaftler jetzt zwei Wege, diesen Mechanismus umzukehren: Zum einen, indem sie Tumorzellen mit den fehlenden verarbeiteten Antigenen ausstatteten. Die Tumorzellen präsentierten diese daraufhin auf ihrer Oberfläche und wurden von T-Zellen attackiert und zerstört. In weiteren Experimenten blockierten die Forscher das für die Inaktivierung verantwortliche Schlüsselenzym, die Histon-Deacetylase. Infolgedessen wurden die für die Antigen-Präsentation verantwortlichen Gene reaktiviert und die Oberflächen der Tumorzellen wieder verstärkt mit dem Leukozytenantigen beladen.

„Unsere Ergebnisse zeigen, dass sich der Tarnmechanismus des Merkelzellkarzinoms pharmakologisch umkehren lässt“, sagt Jürgen Becker. Der Arzt ist zuversichtlich, dass die neuen Erkenntnisse den klinischen Erfolg von Immuntherapien zu Behandlung dieser Hautkrebsart verbessern können: „Zunächst werden wir unterschiedliche Kombinationstherapien mit klinisch einsetzbaren Histondeacetylase- (HDAC) Inhibitoren auf ihre Wirksamkeit testen. Das weitere Ziel sind klinische Studien mit Patienten, bei denen immuntherapeutische Ansätze bisher wirkungslos waren.“

Cathrin Ritter et al.: Epigenetic priming restores the HLA class-I antigen processing machinery expression in Merkel cell carcinoma. In: Scientific Reports 2017, doi:10.1038/s41598-017-02608-0 (http://www.nature.com/articles/s41598-017-02608-0)

*Das Deutsche Konsortium für Translationale Krebsforschung (DKTK) ist eine gemeinsame, langfristige Initiative des Bundesministeriums für Bildung und Forschung (BMBF), der beteiligten Bundesländer und des Deutschen Krebsforschungszentrums (DKFZ) und wurde als eines der sechs Deutschen Zentren der Gesundheitsforschung (DZGs) gegründet. Im DKTK verbindet sich das Deutsche Krebsforschungszentrum (DKFZ) als Kernzentrum langfristig mit onkologisch besonders ausgewiesenen universitären Partnerstandorten und Kliniken in Deutschland. Mit dem DKFZ kooperieren Forschungseinrichtungen und Kliniken an Standorten Berlin, Dresden, Essen/Düsseldorf, Frankfurt/Mainz, Freiburg, Heidelberg, München und Tübingen, um optimale Bedingungen für die kliniknahe Krebsforschung zu schaffen. Das Konsortium fördert interdisziplinäre Forschungsthemen an der Schnittstelle zwischen Grundlagenforschung und Klinik, sowie klinische Studien zu innovativen Therapie- und Diagnoseverfahren. Ein weiterer Schwerpunkt ist der Aufbau von Forschungsplattformen, um den Einsatz personalisierter Krebstherapien zu beschleunigen und die Diagnose und Prävention von Krebserkrankungen zu verbessern.
Weitere Informationen unter www.dktk.org

Über das DKFZ

Das Deutsche Krebsforschungszentrum (DKFZ) ist mit mehr als 3.000 Mitarbeiterinnen und Mitarbeitern die größte biomedizinische Forschungseinrichtung in Deutschland. Wissenschaftlerinnen und Wissenschaftler erforschen im DKFZ, wie Krebs entsteht, erfassen Krebsrisikofaktoren und suchen nach neuen Strategien, die verhindern, dass Menschen an Krebs erkranken. Sie entwickeln neue Methoden, mit denen Tumoren präziser diagnostiziert und Krebspatienten erfolgreicher behandelt werden können. Beim Krebsinformationsdienst (KID) des DKFZ erhalten Betroffene, Interessierte und Fachkreise individuelle Antworten auf alle Fragen zum Thema Krebs.

Um vielversprechende Ansätze aus der Krebsforschung in die Klinik zu übertragen und so die Chancen von Patientinnen und Patienten zu verbessern, betreibt das DKFZ gemeinsam mit exzellenten Universitätskliniken und Forschungseinrichtungen in ganz Deutschland Translationszentren:

  • Nationales Centrum für Tumorerkrankungen (NCT, 6 Standorte)
  • Deutsches Konsortium für Translationale Krebsforschung (DKTK, 8 Standorte)
  • Hopp-Kindertumorzentrum (KiTZ) Heidelberg
  • Helmholtz-Institut für translationale Onkologie (HI-TRON) Mainz – ein Helmholtz-Institut des DKFZ
  • DKFZ-Hector Krebsinstitut an der Universitätsmedizin Mannheim
  • Nationales Krebspräventionszentrum (gemeinsam mit der Deutschen Krebshilfe)

Das DKFZ wird zu 90 Prozent vom Bundesministerium für Forschung, Technologie und Raumfahrt und zu 10 Prozent vom Land Baden-Württemberg finanziert und ist Mitglied in der Helmholtz-Gemeinschaft Deutscher Forschungszentren.

Formular

Formulardaten werden geladen ...