No. 64

Mysterious cells of the immune system: Immunologists at the German Cancer Research Center question the role of mast cells in autoimmune diseases

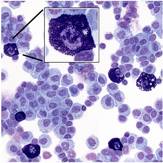
Histochemical staining of leukocytes and highly granulated mast cells
Histochemical staining of leukocytes and highly granulated mast cells

Up to now, scientists have assumed that mast cells, a certain type of immune cells, play a central role in the development of autoimmune diseases such as rheumatoid arthritis and multiple sclerosis. Current studies conducted at the German Cancer Research Center (Deutsches Krebsforschungszentrum, DKFZ) have now provided evidence to refute this assumption. Now it is only the mast cells’ central function in allergies that remains undisputed.

In 1878, medical student Paul Ehrlich, who was later to be awarded the Nobel Prize, discovered numerous cells filled with granules under the light microscope using new staining methods. Because they looked well-fed to him, Ehrlich named these cells “Mastzellen" (from German "Mast"– fattening, feeding). It was not until a century later that scientists found out that mast cells in tissues arise from stem cells in the bone marrow and, therefore, are cells of the immune system. However, little is understood about their immunological function until the present day. While it is known that allergic reactions can range from disagreeable (hay fever) to life-threatening (anaphylactic shock) conditions, the “immunological meaning" of allergies is still not clear. So what is the real immunological function of mast cells?

“The role of mast cells has previously been studied in mice carrying a mutation in a gene known as the Kit gene," said Hans-Reimer Rodewald, an immunologist at DKFZ. Kit is a molecule on the surface of mast cells. Thus, Kit-deficient mice have no mast cells, and such mice have been the standard model for the study of mast cells for more than 25 years. Researchers have used this animal model to conduct various studies which have led to mast cells being attributed a key role in a number of autoimmune diseases. However, various other cell types such as granulocytes and red blood vessels are also adversely affected by the Kit mutation in these animals. “In order to unambiguously define the role of mast cells, we needed a mouse that has a normal Kit gene and still is unable to produce mast cells," said Rodewald. This has now been accomplished by the DKFZ researchers.

To this end, Rodewald’s co-worker, Thorsten Feyerabend, introduced a DNA-attacking gene into mast cells of mice. This specifically blocks the development of mast cells. “We found absolutely no mast cells in this mouse line," said Feyerabend. “Apart from that, the animals were completely healthy and they also exhibited a normal immune system. “ His colleague, Anne Weiser, added: “We were able to show in these mice that the absence of mast cells had no influence on disease development in the autoimmune diseases studied. Thus, mast cells probably do not have a role in arthritis or multiple sclerosis, while the mice with no mast cells were well protected against allergies."

The DKFZ researchers are thus challenging a common model of immunology. “We expect that the function of mast cells will have to be re-evaluated. In particular, we have to answer the question whether mast cells have a constructive, protective function and if so, what this function is." In the future, Hans-Reimer Rodewald plans to study the role of mast cells in cancer. “In mice and in humans, there are many mast cells in the tumor and its environment. There the cells can produce a growth factor for blood vessels, which additionally increases their permeability. Both effects are advantageous for the tumor: The bloodstream carries important nutrients to its environment, which the tumor needs for its enormous growth." So if Paul Ehrlich’s mast cells really “feed" a tumor, Hans-Reimer Rodewald’s finding would at least support the name giver of these mysterious cells of the immune system.

A picture for this press release is available on the Internet at:
WT-PEC-v1.jpg

Source: Dr. Thorsten Feyerabend, German Cancer Research Center
Picture legend: Histochemical staining of leukocytes and highly granulated mast cells.

Thorsten B. Feyerabend, Anne Weiser, et al. Cre-Mediated Cell Ablation Contests Mast Cell Contribution in Models of Antibody- and T Cell-Mediated Autoimmunity, Immunity 35, DOI 10.1016/j.immuni.2011.09.015

About DKFZ

With more than 3,000 employees, the German Cancer Research Center (Deutsches Krebsforschungszentrum, DKFZ) is Germany’s largest biomedical research institute. DKFZ scientists identify cancer risk factors, investigate how cancer progresses and develop new cancer prevention strategies. They are also developing new methods to diagnose tumors more precisely and treat cancer patients more successfully. The DKFZ's Cancer Information Service (KID) provides patients, interested citizens and experts with individual answers to questions relating to cancer.

To transfer promising approaches from cancer research to the clinic and thus improve the prognosis of cancer patients, the DKFZ cooperates with excellent research institutions and university hospitals throughout Germany:

  • National Center for Tumor Diseases (NCT, 6 sites)
  • German Cancer Consortium (DKTK, 8 sites)
  • Hopp Children's Cancer Center (KiTZ) Heidelberg
  • Helmholtz Institute for Translational Oncology (HI-TRON Mainz) - A Helmholtz Institute of the DKFZ
  • DKFZ-Hector Cancer Institute at the University Medical Center Mannheim
  • National Cancer Prevention Center (jointly with German Cancer Aid)

The DKFZ is 90 percent financed by the Federal Ministry of Research, Technology and Space and 10 percent by the state of Baden-Württemberg. The DKFZ is a member of the Helmholtz Association of German Research Centers.

Form

Form data is loaded ...