No. 58

Death Signal for Brain Tumor Cells

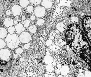
Electron microscopy image of dying brain tumor cells: Giant mitochondria appear as white circles - Wilfried Roth, DKFZ
Electron microscopy image of dying brain tumor cells: Giant mitochondria appear as white circles - Wilfried Roth, DKFZ

A protein which acts as a danger signal in the body causes an unknown form of cell death in malignant brain tumors. This process is characterized by the formation of giant mitochondria in the dying cells. This has been discovered by scientists of the German Cancer Research Center (Deutsches Krebsforschungszentrum, DKFZ) and the Institute of Pathology of Heidelberg University. Healthy brain cells, by contrast, are resistant to this form of cell death. Therefore, the danger signaling protein might help to improve the treatment of dangerous brain tumors.

If doctors find high levels of a protein called HMGB1in a patient’s blood, this is normally not a good sign. This endogenous danger signaling protein (alarmin) is an indicator of serious medical conditions such as sepsis or end-stage malaria. Dying cells release HMGB1. The protein is able to attach to various receptors of immune cells, thus provoking inflammatory processes or activating the immune response.

Associate Professor (PD) Dr. Wilfried Roth, who heads a junior research group at DKFZ and the Institute of Pathology of Heidelberg University, has now discovered a previously unknown effect of the alarmin: If malignant brain tumor cells are treated with genetically engineered HMGB1, they die – and they die in a way not observed by scientists before1: The typical characteristic of this newly described form of cell death is an enormous swelling of the mitochondria. Mitochondria are small cellular organs which normally supply energy to the cell. During HMGB1 induced cell death, both the proteins and the genetic material of the mitochondria decompose.

The investigators were particularly thrilled when they discovered that healthy brain cells (astrocytes) are resistant to HMGB1 induced cell death. Moreover, HMGB1 acts not only in the culture dish: In mice with transplanted brain tumors, treatment with HMGB1 caused the cancer to shrink. Scientists had previously supposed that HMGB1 may assist the body in its fight against cancer through its immune-stimulating effect. A direct deadly effect on cancer cells, however, has not been known so far.

“There are still a lot of open questions about the working mechanism of HMGB1," says Wilfried Roth. For example, the scientists still cannot explain why administration of HMGB1 from outside induces cell death of brain tumor cells, while HMGB1 that is produced anyway by every cell does not. “We find particularly interesting that HMGB1 induced cell death is tumor-specific. We are now investigating whether the danger signaling protein might improve treatment of dangerous glioblastomas. This is a type of brain tumor for which there is virtually no effective treatment available yet."

1 So far, scientists have distinguished four forms of cell death: Necrosis is caused by unphysiological conditions such as pH value or lack of nutrients. It usually affects whole cell populations and is accompanied by membrane damage. Apoptosis serves to maintain a state of balance in an organism (homeostasis). It affects individual cells and is characterized by typical fragmentation of DNA. Senescence (cellular aging) results in the cessation of cells’ ability to divide. Autophagy is a process by which a cell digests its own components and which may also lead to cell death.

Georg Gdynia, Martina Keith, Jürgen Kopitz, Marion Bergmann, Anne Fassl, Alexander N.R. Weber, Julie George, Tim Kees, Hans-Walter Zentgraf, Otmar D. Wiestler, Peter Schirmacher and Wilfried Roth: Danger signaling protein HMGB1 induces a distinct form of cell death accompanied by formation of giant mitochondria. Cancer Research 2010, DOI: 10.1158/0008-5472.CAN-10-0204

A picture for this press release is available at: www.dkfz.de/de/presse/pressemitteilungen/2010/images/Roth_Riesenmitochondrien.jpg

Source: Wilfried Roth, DKFZ
Picture caption: Electron microscopy image of dying brain tumor cells: Giant mitochondria appear as white circles.

About DKFZ

With more than 3,000 employees, the German Cancer Research Center (Deutsches Krebsforschungszentrum, DKFZ) is Germany’s largest biomedical research institute. DKFZ scientists identify cancer risk factors, investigate how cancer progresses and develop new cancer prevention strategies. They are also developing new methods to diagnose tumors more precisely and treat cancer patients more successfully. The DKFZ's Cancer Information Service (KID) provides patients, interested citizens and experts with individual answers to questions relating to cancer.

To transfer promising approaches from cancer research to the clinic and thus improve the prognosis of cancer patients, the DKFZ cooperates with excellent research institutions and university hospitals throughout Germany:

  • National Center for Tumor Diseases (NCT, 6 sites)
  • German Cancer Consortium (DKTK, 8 sites)
  • Hopp Children's Cancer Center (KiTZ) Heidelberg
  • Helmholtz Institute for Translational Oncology (HI-TRON Mainz) - A Helmholtz Institute of the DKFZ
  • DKFZ-Hector Cancer Institute at the University Medical Center Mannheim
  • National Cancer Prevention Center (jointly with German Cancer Aid)

The DKFZ is 90 percent financed by the Federal Ministry of Research, Technology and Space and 10 percent by the state of Baden-Württemberg. The DKFZ is a member of the Helmholtz Association of German Research Centers.

Form

Form data is loaded ...