Nr. 25

Schlankheitsmittel aus dem Zelllabor? Entzündungsenzym steuert Bildung von braunem Fettgewebe

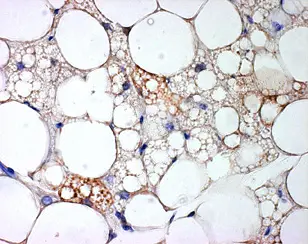
Braune Fettzellen inmitten von weißem Fettgewebe
Braune Fettzellen inmitten von weißem Fettgewebe

Wissenschaftler aus dem Deutschen Krebsforschungszentrum veröffentlichen in der Zeitschrift Science, dass das Entzündungsenzym COX-2 bei Mäusen die Neubildung von braunem Fettgewebe anregt. Braunes Fettgewebe verwandelt Energie in Wärme. Daher haben Mäuse mit gesteigerter COX-2-Produktion einen höheren Energieverbrauch und sind schlanker. Auf der Basis dieser Ergebnisse könnte eine neuartige Methode zur Gewichtsreduktion bei krankhafter Fettleibigkeit entwickelt werden.

Pölsterchen, Hüftgold und Rettungsringe – weißes Fettgewebe formt an den bekannten Körperstellen die typischen Rundungen als Energiedepots. Genau das Gegenteil passiert im braunen Fettgewebe: Hier wird Energie nicht gespeichert, sondern in Wärme umgewandelt. Zum Leidwesen vieler kommt dieser Energiefresser beim erwachsenen Menschen jedoch nur in geringfügigen Mengen vor. Säuglinge und Winterschlaf haltende Nagetiere haben dagegen viel davon, hier dient es der Wärmeregulation.

Forscher wissen, dass im Tierreich äußere Einflüsse die Bildung von braunem Fettgewebe anregen können. Werden Nager bei kalten Temperaturen gehalten, so bilden sich inmitten des weißen Fettgewebes Nester aus braunen Fettzellen. Ein Team von Wissenschaftler aus dem Deutschen Krebsforschungszentrum unter der Leitung von Dr. Stephan Herzig ging gemeinsam mit Kollegen aus München, Marburg, Frankfurt und Lausanne den molekularen Ursachen dieses Phänomens auf den Grund: Sie entdeckten, dass im weißen Fettgewebe von Mäusen, die Kälte ausgesetzt worden waren, die Produktion des Entzündungs-Enzyms COX-2 gesteigert ist. COX-2 ist Wissenschaftlern gut bekannt, es steuert den zentralen Schritt bei der Biosynthese der Prostaglandine, entzündungsfördernder Hormone, die auch für die Schmerzentstehung verantwortlich sind.

„Unsere aktuellen Ergebnisse belegen, dass COX-2 und Prostaglandine entscheidend sind für die Neubildung von braunem Fettgewebe und damit auch für die Regulation des Körpergewichts“, fasst Stephan Herzig seine Daten zusammen. Denn parallel zum Anstieg der COX-2-Produktion im weißen Fettgewebe stieg auch die Menge des Proteins, das biochemisch Energie in Wärme umwandelt und das daher als wichtigster Biomarker für braune Fettzellen gilt. Schalteten die Forscher dagegen COX-2 im weißen Fettgewebe ab, ließ sich das typische Erscheinungsbild von braunen Fettzellen nicht mehr durch Kälte anregen.

Auch unabhängig von Kälte entstanden Ansammlungen brauner Fettzellen im weißen Fettgewebe, wenn die Wissenschaftler bei Mäusen die COX-2-Produktion durch einen molekularbiologischen Trick ankurbelten. Diese Tiere hatten ein um 20 Prozent geringeres Körpergewicht als normale Artgenossen. Auch wenn sie kalorienreich gefüttert wurden, nahmen sie nicht an Gewicht zu.

Ältere Studien finnischer Forscher deuten darauf hin, dass auch bei Menschen ein regelmäßiger Aufenthalt in der Kälte die Aktivität, also Wärmeproduktion, von braunem Fettgewebe anregen kann. Stephan Herzig will nun prüfen, ob auch hier COX-2 die biochemische Schlüsselrolle spielt. Da sich die Bildung von braunen Fettzellen auch in der Kulturschale anregen lässt, sieht der Wissenschafter eine Möglichkeit, seine Ergebnisse praktisch umzusetzen: Seine Zukunftsvision ist, schwer übergewichtigen Personen weißes Fettgewebe zu entnehmen, in der Kulturschale die Bildung von braunen Fettzellen durch Prostaglandine anzuregen und diese zurück zu transplantieren. Damit könnte man Menschen zu einem höheren Energieumsatz und damit zu leichterem Abnehmen verhelfen. Schätzungen gehen davon aus, dass eine geringe Menge von etwa 50 Gramm braunem Fettgewebe ausreichen würde, um den Energieumsatz eines Menschen um 20 Prozent zu steigern. Dies entspräche etwa einer Reduktion des Körpergewichts um 20 Kilo über einen Zeitraum von einem Jahr.

Bei Krebspatienten wurde in klinischen Studien bereits indirekt gezeigt, dass COX-2 einen Einfluss auf das Körpergewicht hat. So stabilisierte sich das Gewicht von Kranken, die an schwerer krebsbedingter Auszehrung litten, durch Medikamente, die COX-2 hemmen. Aber auch einige gängige Schmerzmittel wirken, indem sie COX-2 hemmen – müssen die Anwender als Nebenwirkung in Kauf nehmen, Pfunde anzusetzen? Herzig beruhigt: „Wir haben bislang keine Hinweise darauf, dass durch die Einnahme dieser Medikamente eine Gewichtzunahme zu befürchten ist.“

Ein Bild zur Pressemitteilung steht im Internet zur Verfügung unter:
www.dkfz.de/de/presse/pressemitteilungen/2010/images/Fettzellen.jpg

Bildunterschrift: braune Fettzellen inmitten von weißem Fettgewebe

Quelle: Karin Müller-Decker, Deutsches Krebsforschungszentrum

Alexandros Vegiopoulos, Karin Müller-Decker, Daniela Strzoda, Iris Schmitt, Evgeny Chichelnitsky, Anke Ostertag, Mauricio Berriel Diaz, Jan Rozman, Martin Hrabe de Angelis, Rolf M. Nüsing, Carola W. Meyer, Walter Wahli, Martin Klingenspor und Stephan Herzig: Cyclooxygenase-2 Controls Energy Homeostasis in Mice by de Novo Recruitment of Brown Adipocytes
Science 2010, DOI: 10.1126/science.1186034

Über das DKFZ

Das Deutsche Krebsforschungszentrum (DKFZ) ist mit mehr als 3.000 Mitarbeiterinnen und Mitarbeitern die größte biomedizinische Forschungseinrichtung in Deutschland. Wissenschaftlerinnen und Wissenschaftler erforschen im DKFZ, wie Krebs entsteht, erfassen Krebsrisikofaktoren und suchen nach neuen Strategien, die verhindern, dass Menschen an Krebs erkranken. Sie entwickeln neue Methoden, mit denen Tumoren präziser diagnostiziert und Krebspatienten erfolgreicher behandelt werden können. Beim Krebsinformationsdienst (KID) des DKFZ erhalten Betroffene, Interessierte und Fachkreise individuelle Antworten auf alle Fragen zum Thema Krebs.

Um vielversprechende Ansätze aus der Krebsforschung in die Klinik zu übertragen und so die Chancen von Patientinnen und Patienten zu verbessern, betreibt das DKFZ gemeinsam mit exzellenten Universitätskliniken und Forschungseinrichtungen in ganz Deutschland Translationszentren:

  • Nationales Centrum für Tumorerkrankungen (NCT, 6 Standorte)
  • Deutsches Konsortium für Translationale Krebsforschung (DKTK, 8 Standorte)
  • Hopp-Kindertumorzentrum (KiTZ) Heidelberg
  • Helmholtz-Institut für translationale Onkologie (HI-TRON) Mainz – ein Helmholtz-Institut des DKFZ
  • DKFZ-Hector Krebsinstitut an der Universitätsmedizin Mannheim
  • Nationales Krebspräventionszentrum (gemeinsam mit der Deutschen Krebshilfe)

Das DKFZ wird zu 90 Prozent vom Bundesministerium für Forschung, Technologie und Raumfahrt und zu 10 Prozent vom Land Baden-Württemberg finanziert und ist Mitglied in der Helmholtz-Gemeinschaft Deutscher Forschungszentren.

Formular

Formulardaten werden geladen ...