Nr. 14

Neue deutsch-französische Forschungseinheit zu Krebs und Infektionen

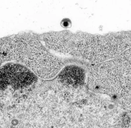
Epstein-Barr Virus beim Verlassen einer Zelle (elektronenmikroskopische Aufnahme)
Epstein-Barr Virus beim Verlassen einer Zelle (elektronenmikroskopische Aufnahme)

Das französische Institut National de la Santé et de la Recherche Médicale (Inserm) richtet im Deutschen Krebsforschungszentrum erneut eine Forschungsgruppe ein. Das Wissenschaftlerteam unter der Leitung des Pathologen Professor Dr. Henri-Jacques Delecluse erforscht die Zusammenhänge zwischen Infektionen mit Viren und Bakterien und der Krebsentstehung.

Epstein-Barr Viren (EBV), Mitglieder der Familie der Herpesviren, sind bei uns in erster Linie als Erreger des Pfeifferschen Drüsenfiebers – der so genannten Kuss-Krankheit bekannt. In anderen Teilen der Welt begünstigt das Virus dagegen Krebserkrankungen; in Zentralafrika das Burkitt-Lymphom, im asiatischen Raum dagegen verschiedene Tumoren des Nasen-Rachenraums. Schätzungen gehen davon aus, dass etwa zwei Prozent aller Krebsfälle weltweit auf das Konto von EBV gehen.

Seit über 15 Jahren erforscht Professor Dr. Henri-Jacques Delecluse die molekularen Vorgänge, die EBV-infizierte Zellen zu Krebs entarten lassen. Seit Beginn dieses Jahres ist der Mediziner nun Direktor der neuen Forschungseinheit „Unité Inserm 1074“, die das französische Institut National de la Santé et de la Recherche Médicale (Inserm) am Deutschen Krebsforschungszentrum eingerichtet hat. Die Forscher interessieren sich neben den Virus- auch für Bakterieninfektionen. Das Hauptausgenmerk legen sie auf die Krebsentstehung in so genannten Epithelzellen, die alle inneren und äußeren Körperoberflächen auskleiden.

Delecluse war es in den vergangenen Jahren bereits gelungen, EBV-Mutanten herzustellen, die kein Erbgut in ihrer Proteinhülle verpacken und daher keinerlei Krankheit verursachen können. Für das Immunsystem gleichen die leeren Virushüllen jedoch dem intakten Erreger und sind daher ein ideales Ausgangsmaterial für einen Impfstoff. Die frischgebackenen Inserm-Forscher wollen diese so genannten „virusähnlichen Partikel“ nun nutzen, um Immuntherapien gegen EBV-infizierte Zellen und möglicherweise sogar eine vorbeugende Vakzine gegen das Virus zu entwickeln, die auch vor den EBV-assoziierten Krebserkrankungen schützen soll.

Um den Zusammenhang zwischen infektionsbedingten chronischen Entzündungen und Krebs zu untersuchen, haben die Wissenschaftler um Delecluse eine bestimmte Form der chronischen Entzündung des Gallengangs als Modell gewählt, die möglicherweise durch Bakterien verursacht wird. Die Patienten entwickeln oft Gallengangkrebs als Spätfolge ihrer Erkrankung. Delecluse und seine Mitarbeiter wollen nun molekulare Marker identifizieren, die frühzeitig auf eine Krebsentstehung hinweisen. Das könnte die Heilungschancen für diese gefährliche Krebserkrankung deutlich verbessern. Dazu verfolgen sie, wann im Verlauf der Krankheitsentwicklung welche genetischen Veränderungen und welche Botenstoffe in den entzündeten Geweben auftreten.

Das DKFZ und Inserm finanzieren die Unité 1074 als gemeinsame Forschungsgruppe anteilig. Die Förderung ist für zunächst fünf Jahre vorgesehen und kann verlängert werden. Der gebürtige Franzose Delecluse leitet nicht die erste Inserm-Gruppe am DKFZ: Von 1993 bis 2011 war bereits die Inserm Unité Krebs-Virotherapie unter der Leitung von Professor Jean Rommelaere am DKFZ angesiedelt. Rommelaere und sein Team entwickelten eine Virustherapie gegen Krebs, die sie inzwischen sogar schon bei bösartigen Hirntumoren in die klinische Erprobung überführen konnten. Möglicherweise hat dieser Erfolg dazu beigetragen, dass sich das DKFZ der französischen Forschungsinstitution als gute Adresse für hochkarätige wissenschaftliche Arbeit eingeprägt hat.

Ein Bild zur Pressemitteilung steht im Internet zur Verfügung unter:
EBV-particle.jpg

Quelle: Henri-Jacques Delecluse, Deutsches Krebsforschungszentrum
Bildunterschrift: Epstein-Barr Virus beim Verlassen einer Zelle (elektronenmikroskopische Aufnahme)

Über das DKFZ

Das Deutsche Krebsforschungszentrum (DKFZ) ist mit mehr als 3.000 Mitarbeiterinnen und Mitarbeitern die größte biomedizinische Forschungseinrichtung in Deutschland. Wissenschaftlerinnen und Wissenschaftler erforschen im DKFZ, wie Krebs entsteht, erfassen Krebsrisikofaktoren und suchen nach neuen Strategien, die verhindern, dass Menschen an Krebs erkranken. Sie entwickeln neue Methoden, mit denen Tumoren präziser diagnostiziert und Krebspatienten erfolgreicher behandelt werden können. Beim Krebsinformationsdienst (KID) des DKFZ erhalten Betroffene, Interessierte und Fachkreise individuelle Antworten auf alle Fragen zum Thema Krebs.

Um vielversprechende Ansätze aus der Krebsforschung in die Klinik zu übertragen und so die Chancen von Patientinnen und Patienten zu verbessern, betreibt das DKFZ gemeinsam mit exzellenten Universitätskliniken und Forschungseinrichtungen in ganz Deutschland Translationszentren:

  • Nationales Centrum für Tumorerkrankungen (NCT, 6 Standorte)
  • Deutsches Konsortium für Translationale Krebsforschung (DKTK, 8 Standorte)
  • Hopp-Kindertumorzentrum (KiTZ) Heidelberg
  • Helmholtz-Institut für translationale Onkologie (HI-TRON) Mainz – ein Helmholtz-Institut des DKFZ
  • DKFZ-Hector Krebsinstitut an der Universitätsmedizin Mannheim
  • Nationales Krebspräventionszentrum (gemeinsam mit der Deutschen Krebshilfe)

Das DKFZ wird zu 90 Prozent vom Bundesministerium für Forschung, Technologie und Raumfahrt und zu 10 Prozent vom Land Baden-Württemberg finanziert und ist Mitglied in der Helmholtz-Gemeinschaft Deutscher Forschungszentren.

Formular

Formulardaten werden geladen ...