Nr. 08

Mögliche Mitschuldige der Parkinson-Krankheit entdeckt

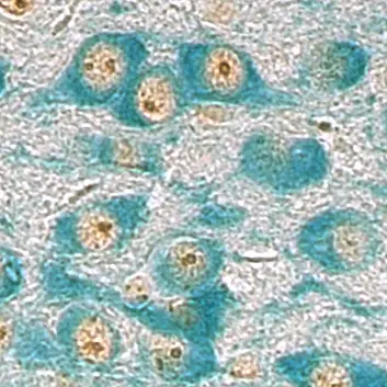
Dopamin-produzierende Nervenzellen im Mäuse-Gehirn. Der Zellkern ist hellbraun, darin sind die Kernkörperchen als kleine, runde, dunkelbraune Strukturen zu erkennen.
Dopamin-produzierende Nervenzellen im Mäuse-Gehirn. Der Zellkern ist hellbraun, darin sind die Kernkörperchen als kleine, runde, dunkelbraune Strukturen zu erkennen.

Bei Parkinson gehen die Dopamin-produzierenden Nervenzellen im Gehirn zugrunde. Das führt zu den charakteristischen Symptomen der Krankheit. Wissenschaftler im Deutschen Krebsforschungszentrum entdeckten, dass genau diese Nervenzellen bei Parkinsonpatienten defekte Kernkörperchen enthalten. Kernkörperchen sind winzige Strukturen im Zellkern, die für die lebenswichtige Proteinsynthese notwendig sind. Die DKFZ-Forscher zeigten an Mäusen, dass eine Schädigung der Kernkörperchen Parkinson-ähnliche Symptome hervorruft und somit die Ursache der Erkrankung sein könnte.

„Nukleolus“, kleiner Kern, tauften die frühen Biologen die winzige Struktur innerhalb des Zellkerns, die ihnen unter dem Mikroskop auffiel. In diesen heute als „Kernkörperchen“ bezeichneten Gebilden werden aus RNA-Molekülen und Proteinen die Ribosomen zusammengebaut, die eigentlichen Proteinfabriken der Zelle.

Fehlerhafte Kernkörperchen wurden schon bei mehreren seltenen Erbkrankheiten beobachtet, neuerdings auch bei neurodegenerativen Erkrankungen wie Alzheimer oder Chorea Huntington. Trotz weltweiter intensiver Forschung sind auch die molekularen Ursachen der Parkinson-Krankheit noch nicht aufgeklärt. Unter der Federführung von Dr. Rosanna Parlato untersuchten Wissenschaftler aus den Abteilungen von Professor Dr. Günther Schütz und Professor Dr. Ingrid Grummt im Deutschen Krebsforschungszentrum, ob die Zerstörung von Kernkörperchen auch bei dieser als „Schüttellähmung“ bezeichneten Erkrankung eine Rolle spielt.

Die Forscher analysierten die Dopamin-produzierenden Nervenzellen im Gehirn von Parkinsonpatienten unter dem Mikroskop. Dieser Zelltyp geht bei der Erkrankung zugrunde, was die charakteristischen Lähmungssymptome auslöst. Tatsächlich erwiesen sich die Kernkörperchen in diesen Zellen großenteils als defekt.

Diese Beobachtung veranlasste die Forscher zu prüfen, ob schadhafte Kernkörperchen tatsächlich Parkinson-ähnliche Symptome hervorrufen können, oder ob es sich nur um eine zufällige Beobachtung handelte. Dafür veränderten sie das Erbgut von Mäusen so, dass die Dopamin-produzierenden Zellen der Tiere nur defekte Kernkörperchen ausbilden konnten. Diese Mäuse zeigten Symptome, die dem Krankheitsbild Parkinson ähneln, so etwa die charakteristische Bewegungseinschränkung. Außerdem sterben die Dopamin-produzierenden Nervenzellen in ihrem Gehirn früh ab.

Um zu erklären, wie es zu diesen Symptomen kommt, nahmen die Forscher alle Funktionen der genveränderten Zelle genau unter die Lupe. Dabei entdeckten sie eine entscheidende Veränderung: Die Aktivität des Enzyms mTOR, einem zentralen Regler aller innerzellulären Signalwege, war in den genveränderten Zellen gedrosselt. Als Konsequenz der reduzierten mTOR-Aktivität ist die Funktion der Zellkraftwerke, der Mitochondrien, gestört. Diese Funktionsstörung macht sich in der Zelle durch oxidativen Stress bemerkbar; es sammeln sich hochreaktive Sauerstoffverbindungen an, die vielerlei Moleküle in der Zelle schädigen.

„Defekte Kernkörperchen bewirken offenbar oxidativen Stress in der Zelle. Dies kann massive Zellschäden auslösen und eine wichtige Voraussetzung für die typischen Nervenschäden bei Parkinson darstellen“, sagt Dr. Rosanna Parlato. „Gerade die Dopamin-produzierenden Nervenzellen sind besonders empfindlich gegenüber oxidativem Stress.“ Allerdings wissen die Forscher nicht sicher, ob der Schaden an den Kernkörperchen tatsächlich alleiniger Auslöser für die Neurodegeneration ist. „Auf jeden Fall aber funktioniert das Kernkörperchen als Stress-Sensor, an dem wir erkennen können, dass die Zelle in Gefahr ist.“

Claus Rieker, David Engblom, Grzegorz Kreiner, Andrii Domanskyi, Andreas Schober, Stefanie Stotz, Manuela Neumann, Xuejun Yuan, Ingrid Grummt, Günther Schütz und Rosanna Parlato: Nucleolar Disruption in Dopaminergic Neurons Leads to Oxidative Damage and Parkinsonism through Repression of Mammalian Target of Rapamycin Signaling. The Journal of Neuroscience, January 12, 2011, 31(2):453– 460; DOI:10.1523/JNEUROSCI.0590-10.2011

Über das DKFZ

Das Deutsche Krebsforschungszentrum (DKFZ) ist mit mehr als 3.000 Mitarbeiterinnen und Mitarbeitern die größte biomedizinische Forschungseinrichtung in Deutschland. Wissenschaftlerinnen und Wissenschaftler erforschen im DKFZ, wie Krebs entsteht, erfassen Krebsrisikofaktoren und suchen nach neuen Strategien, die verhindern, dass Menschen an Krebs erkranken. Sie entwickeln neue Methoden, mit denen Tumoren präziser diagnostiziert und Krebspatienten erfolgreicher behandelt werden können. Beim Krebsinformationsdienst (KID) des DKFZ erhalten Betroffene, Interessierte und Fachkreise individuelle Antworten auf alle Fragen zum Thema Krebs.

Um vielversprechende Ansätze aus der Krebsforschung in die Klinik zu übertragen und so die Chancen von Patientinnen und Patienten zu verbessern, betreibt das DKFZ gemeinsam mit exzellenten Universitätskliniken und Forschungseinrichtungen in ganz Deutschland Translationszentren:

  • Nationales Centrum für Tumorerkrankungen (NCT, 6 Standorte)
  • Deutsches Konsortium für Translationale Krebsforschung (DKTK, 8 Standorte)
  • Hopp-Kindertumorzentrum (KiTZ) Heidelberg
  • Helmholtz-Institut für translationale Onkologie (HI-TRON) Mainz – ein Helmholtz-Institut des DKFZ
  • DKFZ-Hector Krebsinstitut an der Universitätsmedizin Mannheim
  • Nationales Krebspräventionszentrum (gemeinsam mit der Deutschen Krebshilfe)

Das DKFZ wird zu 90 Prozent vom Bundesministerium für Forschung, Technologie und Raumfahrt und zu 10 Prozent vom Land Baden-Württemberg finanziert und ist Mitglied in der Helmholtz-Gemeinschaft Deutscher Forschungszentren.

Formular

Formulardaten werden geladen ...