Nr. 40

DKFZ-Ausgründung „mtm laboratories“ von Roche übernommen

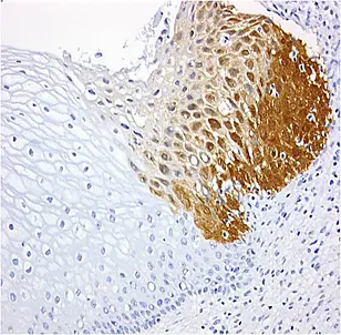
Gewebeschnitt vom Gebärmutterhals: Die braune Färbung ist ein Indiz für bösartig veränderte Zellen. Quelle: mtm laboratories
Gewebeschnitt vom Gebärmutterhals: Die braune Färbung ist ein Indiz für bösartig veränderte Zellen. Quelle: mtm laboratories

mtm laboratories AG war eine der ersten Ausgründungen des DKFZ, an der das Deutsche Krebsforschungszentrum Anteile hielt. Der Verkauf an Roche, einen international führenden Anbieter von Diagnostika, bestätigt die wissenschaftliche Leistung und das Engagement der Firmengründer.

Mit dem Ziel, den Nachweis des Krebsproteins p16 als diagnostischen Test zur Früherkennung von Gebärmutterhalskrebs zu entwickeln, gründeten Wissenschaftler um Prof. Dr. Magnus von Knebel Doeberitz aus dem Deutschen Krebsforschungszentrum (DKFZ) und dem Universitätsklinikum Heidelberg 1999 das Unternehmen mtm laboratories („molecular tools in medicine“).

mtm war eine der ersten Ausgründungen, an der das DKFZ eine direkte Beteiligung hielt. Über einen kombinierten Lizenz- und Beteiligungsvertrag ist das Forschungszentrum sowohl am Erfolg beim Firmenverkauf oder Börsengang beteiligt als auch über produktbezogene Lizenzeinnahmen.

„Wir freuen uns, dass eine der ersten Beteiligungen des DKFZ die schwierige Phase der klinischen Prüfungen erfolgreich bestanden hat und damit attraktiv für einen großen Partner aus der Diagnostik- und Pharmaindustrie geworden ist“, sagt Prof. Dr. Josef Puchta, Administrativ-kaufmännischer Vorstand des Deutschen Krebsforschungszentrums. „Wichtig ist, bis zum „return of investment“ genügend Durchhaltevermögen zu haben. Die Übernahme durch Roche zeigt uns heute, dass unsere damals noch unübliche Doppelstrategie aufgegangen ist: Roche, ein Partner in der BioRegion Rhein-Neckar, ist international führend auf dem Diagnostikmarkt und von daher das ideale Unternehmen, um die mtm-Produkte klinisch weiter zu entwickeln und weltweit zu vertreiben“. Das DKFZ unterhält darüber hinaus bereits mehrere weitere Kooperations- und Lizenzbeziehungen zu Roche.

Dr. Ruth Herzog, die Leiterin des Technologietransfer-Büros im Deutschen Krebsforschungszentrum, hofft, dass von der erfolgreichen Übernahme ein Signal an junge Wissenschaftler ausgeht: „Ausgründungen sind – bei aller Unwägbarkeit – eine hervorragende Möglichkeit, vielversprechende Erfindungen aus der Grundlagenforschung zu einem markfähigen Produkt weiterzuentwickeln. Wir unterstützen die jungen Erfinder auf diesem Weg in allen Phasen.“

Der Firmengründer Prof. Dr. Magnus von Knebel Doeberitz arbeitet im Universitätsklinikum Heidelberg und leitet zugleich im Deutschen Krebsforschungszentrum die Klinische Kooperationseinheit „Angewandte Tumorbiologie“. Gemeinsam mit Dr. Christina von Knebel Doeberitz und Dr. Rüdiger Ridder konnte er Ende der 1990er-Jahre Risikokapitalgeber von ihrer Geschäftsidee überzeugen. Auf der Basis der p16-Patente, an denen das DKFZ mit 20 Prozent beteiligt ist, entwickelten die mtm-Forscher einen immunhistochemischen Test, der in Gewebeschnitten zuverlässig fortgeschrittene Vorstufen von Gebärmutterhalskrebs anzeigt. Das Verfahren beruht auf dem Nachweis der erhöhten Produktion des Krebsproteins p16. Bei chronischer Infektion mit Hochrisikotypen des humanen Papillomvirus bilden die Zellen der Gebärmutterhalsschleimhaut diesen Biomarker, der die Transformation zu bösartigen Krebszellen anzeigt. Mit dem CINtec ® p16- Test, den mtm 2007 weltweit auf den Markt brachte, werden die transformierten Zellen deutlich farbig dargestellt. Damit kann der Pathologe selbst kleinste Krebsherde von wenigen Zellen sicher zu erkennen.

Das Unternehmen entwickelte den Test weiter für die zytologische Untersuchung des so genannten „Pap-Abstrichs“. Diese Untersuchung wird in Deutschland allen Frauen vom 20. Lebensjahr im Rahmen des gesetzlichen Früherkennungsprogramms angeboten. Jedoch ist die mikroskopische Bewertung des Zellmaterials oft schwierig, so dass es häufig zu falsch positiven oder falsch negativen Resultaten kommt. Der CINtec ® PLUS genannte Test weist neben p16 gleichzeitig noch den Wachstumsmarker Ki-67 nach. Die Kombination dieser beiden Biomarkern in derselben Zelle ist ein unabhängiger Hinweis auf das Vorliegen von Krebsvorläuferzellen. Das Nachweisverfahren wurde inzwischen an über 30.000 Zellabstrichen geprüft und soll in Zukunft behandlungsbedürftige Gewebeveränderungen sicher aufspüren und gleichzeitig unnötige Biopsien vermeiden.

Ein Bild zur Pressemitteilung steht im Internet zur Verfügung unter:
www.dkfz.de/de/presse/pressemitteilungen/2011/images/pm-mtm.jpg

Bildunterschrift: Gewebeschnitt vom Gebärmutterhals: Die braune Färbung ist ein Indiz für bösartig veränderte Zellen. Quelle: mtm laboratories

Über das DKFZ

Das Deutsche Krebsforschungszentrum (DKFZ) ist mit mehr als 3.000 Mitarbeiterinnen und Mitarbeitern die größte biomedizinische Forschungseinrichtung in Deutschland. Wissenschaftlerinnen und Wissenschaftler erforschen im DKFZ, wie Krebs entsteht, erfassen Krebsrisikofaktoren und suchen nach neuen Strategien, die verhindern, dass Menschen an Krebs erkranken. Sie entwickeln neue Methoden, mit denen Tumoren präziser diagnostiziert und Krebspatienten erfolgreicher behandelt werden können. Beim Krebsinformationsdienst (KID) des DKFZ erhalten Betroffene, Interessierte und Fachkreise individuelle Antworten auf alle Fragen zum Thema Krebs.

Um vielversprechende Ansätze aus der Krebsforschung in die Klinik zu übertragen und so die Chancen von Patientinnen und Patienten zu verbessern, betreibt das DKFZ gemeinsam mit exzellenten Universitätskliniken und Forschungseinrichtungen in ganz Deutschland Translationszentren:

  • Nationales Centrum für Tumorerkrankungen (NCT, 6 Standorte)
  • Deutsches Konsortium für Translationale Krebsforschung (DKTK, 8 Standorte)
  • Hopp-Kindertumorzentrum (KiTZ) Heidelberg
  • Helmholtz-Institut für translationale Onkologie (HI-TRON) Mainz – ein Helmholtz-Institut des DKFZ
  • DKFZ-Hector Krebsinstitut an der Universitätsmedizin Mannheim
  • Nationales Krebspräventionszentrum (gemeinsam mit der Deutschen Krebshilfe)

Das DKFZ wird zu 90 Prozent vom Bundesministerium für Forschung, Technologie und Raumfahrt und zu 10 Prozent vom Land Baden-Württemberg finanziert und ist Mitglied in der Helmholtz-Gemeinschaft Deutscher Forschungszentren.

Formular

Formulardaten werden geladen ...