Nr. 11

Darmkrebs: Unterschiedliche Wnt-Signalwege bringen Darmzellen auf die falsche Bahn

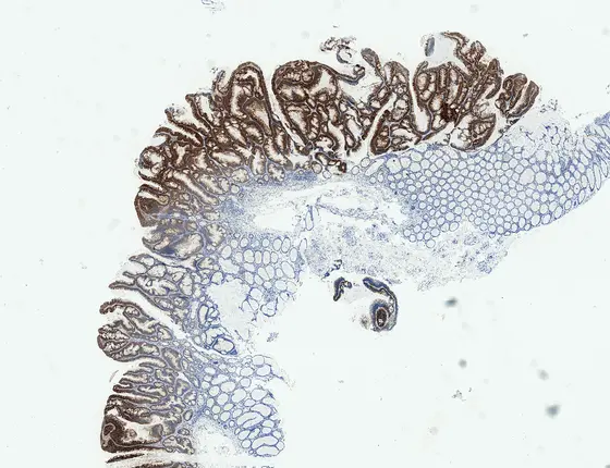
Das Bild zeigt einen entarteten menschlichen Darmpolypen mit immunohistochemischer Anfärbung des Biomarkers DIA2 zur Erkennung früher Darmkrebsstadien (Adenoma) und das angrenzende gesunde Gewebe.
Das Bild zeigt einen entarteten menschlichen Darmpolypen mit immunohistochemischer Anfärbung des Biomarkers DIA2 zur Erkennung früher Darmkrebsstadien (Adenoma) und das angrenzende gesunde Gewebe.

Signalmoleküle der Wnt-Familie gehören zu den wichtigsten Botenstoffen, damit sich unsere stark beanspruchte Darmschleimhaut fortwährend erneuern kann. Gleichzeitig ist ein „Zuviel“ an Wnt ein häufiger Auslöser für Darmkrebs. Wnt gilt deshalb als wichtiger Biomarker und therapeutischer Angriffspunkt. Welche zelluläre Antwort durch Wnt ausgelöst wird, kann dabei einen günstigen oder schlechten Krankheitsverlauf bei Darmkrebspatienten anzeigen. Das zeigten Wissenschaftler des Deutschen Krebskonsortiums (DKTK) und der Goethe Universität Frankfurt am Georg-Speyer-Haus in ihrer aktuellen Studie. Im DKTK verbindet sich das Deutsche Krebsforschungszentrum (DKFZ) in Heidelberg als Kernzentrum langfristig mit onkologisch besonders ausgewiesenen universitären Partnerstandorten in Deutschland.

In etwa 80 Prozent aller Darmtumoren kommen Mutationen des Tumorsupressor-Proteins APC (Adenomatous Polyposis Coli) vor und führen zu einer Überaktivierung im Wnt-Signalweg. Wnt gilt daher als einer der wichtigsten Biomarker bei Darmkrebs und als möglicher Angriffspunkt für neue Darmkrebstherapien. „Bisherige Ansätze, den Wnt-Signalweg zu blockieren sind jedoch an den starken Nebenwirkungen gescheitert, da der Botenstoff Wnt auch in gesunden Zellen für die Stammzellbildung und die Zellteilung essentiell ist“, erklärt Henner Farin, Nachwuchsgruppenleiter des Deutschen Krebskonsortiums (DKTK) am Georg-Speyer-Haus in Frankfurt.

In der vorliegenden Studie entdeckten er und seine Kollegen erstmals eine tumorspezifische molekulare Reaktionskette, die durch Wnt ausgelöst wird. Dafür nutzten die Forscher dreidimensionale Darmkulturen, die sie aus gesundem menschlichem Darmgewebe heranzüchteten, sogenannte „Organoide“. Organoide sind ein neues Verfahren der Biomedizin. Im Labor werden Darmzellen als Zellverband vervielfältigt, so dass sie organähnliche Eigenschaften erhalten, und zum Beispiel die Wirkungsweise von Medikamenten im Darm untersucht werden kann. Mit Hilfe dieser Mini-Därme konnten die Forscher die Wnt-Aktivität in Darmtumoren und den Stammzellen eines gesunden Darms vergleichen. Dazu schalteten sie das Tumorsuppressor-Protein APC gezielt aus, wodurch Krebsvorläuferstadien (Adenome) entstanden. Interessanterweise wurde dabei eine ganz andere Palette an Genen durch Wnt aktiviert, als dies in den gesunden Zellen der Fall war.

„Wir sehen hier zwei völlig unterschiedliche molekulare Antworten in den gesunden Zellen und den Tumorzellen. Das bedeutet, dass nicht das erhöhte Wnt-Signal per se für die Diagnose und Prognose aussagekräftig ist. Man muss sich die nachgeschalteten genetischen Aktivitätsmuster anschauen“, sagt Henner Farin. Die Ergebnisse erklären auch, warum es bislang widersprüchliche Berichte gab, die ein hohes Wnt Signal mal mit einer schlechten und mal mit einer guten Prognose in Verbindung brachten.

Die unterschiedlichen Aktivitätsmuster korrelierten die Wissenschaftler mit den molekularen Daten großer Patientenkohorten und konnten dadurch Subtypen mit günstigem und schlechterem Krankheitsverlauf zuordnen. Darüber hinaus identifizierte das Team eine Reihe von Proteinmarkern, die künftig zur Tumorerkennung genutzt werden könnten.

In ihrem Organoid-Ansatz sehen die Wissenschaftler großes Potential, neue Schwachstellen in Tumorzellen zu entdecken und anzugreifen ohne den gesunden Zellen zu schaden: „Bislang fehlte es an geeigneten in vitro Modellen, um gesunde Zellen und Tumorzellen sauber vergleichen zu können. Patientenproben sind genetisch sehr variabel und oft fehlt der Vergleich mit normalen Zellen. Mit Organoiden können wir künftig auch für andere Krebsarten die tumorspezifischen Komponenten in zellulären Signalwegen herausfiltern und damit neue krebsspezifische Schwachstellen entdecken“, freut sich Henner Farin.

Originalpublikation:
B. E. Michels et al. Human colon organoids reveal distinct physiologic and oncogenic Wnt responses. In: Journal of Experimental Medicine. (Online Publikation 21. Februar 2019)
DOI 10.1084/jem.20180823
Link http://jem.rupress.org/cgi/doi/10.1084/jem.20180823 

Ein Bild zur Pressemitteilung steht zur Verfügung unter:
Polyp.jpg 
BU:
Das Bild zeigt einen entarteten menschlichen Darmpolypen mit immunohistochemischer Anfärbung des Biomarkers DIA2 zur Erkennung früher Darmkrebsstadien (Adenoma) und das angrenzende gesunde Gewebe.

Nutzungshinweis für Bildmaterial zu Pressemitteilungen
Die Nutzung ist kostenlos. Das Deutsche Krebsforschungszentrum (DKFZ) gestattet die einmalige Verwendung in Zusammenhang mit der Berichterstattung über das Thema der Pressemitteilung bzw. über das DKFZ allgemein. Bitte geben Sie als Bildnachweis an: „Quelle: Henner Farin“.
Eine Weitergabe des Bildmaterials an Dritte ist nur nach vorheriger Rücksprache mit der DKFZ-Pressestelle (Tel. 06221 42 2854, E-Mail: presse@dkfz.de) gestattet. Eine Nutzung zu kommerziellen Zwecken ist untersagt.

Über das DKFZ

Das Deutsche Krebsforschungszentrum (DKFZ) ist mit mehr als 3.000 Mitarbeiterinnen und Mitarbeitern die größte biomedizinische Forschungseinrichtung in Deutschland. Wissenschaftlerinnen und Wissenschaftler erforschen im DKFZ, wie Krebs entsteht, erfassen Krebsrisikofaktoren und suchen nach neuen Strategien, die verhindern, dass Menschen an Krebs erkranken. Sie entwickeln neue Methoden, mit denen Tumoren präziser diagnostiziert und Krebspatienten erfolgreicher behandelt werden können. Beim Krebsinformationsdienst (KID) des DKFZ erhalten Betroffene, Interessierte und Fachkreise individuelle Antworten auf alle Fragen zum Thema Krebs.

Um vielversprechende Ansätze aus der Krebsforschung in die Klinik zu übertragen und so die Chancen von Patientinnen und Patienten zu verbessern, betreibt das DKFZ gemeinsam mit exzellenten Universitätskliniken und Forschungseinrichtungen in ganz Deutschland Translationszentren:

  • Nationales Centrum für Tumorerkrankungen (NCT, 6 Standorte)
  • Deutsches Konsortium für Translationale Krebsforschung (DKTK, 8 Standorte)
  • Hopp-Kindertumorzentrum (KiTZ) Heidelberg
  • Helmholtz-Institut für translationale Onkologie (HI-TRON) Mainz – ein Helmholtz-Institut des DKFZ
  • DKFZ-Hector Krebsinstitut an der Universitätsmedizin Mannheim
  • Nationales Krebspräventionszentrum (gemeinsam mit der Deutschen Krebshilfe)

Das DKFZ wird zu 90 Prozent vom Bundesministerium für Forschung, Technologie und Raumfahrt und zu 10 Prozent vom Land Baden-Württemberg finanziert und ist Mitglied in der Helmholtz-Gemeinschaft Deutscher Forschungszentren.

Formular

Formulardaten werden geladen ...