Nr. 66r

Aussichtsreicher Therapieansatz gegen COPD

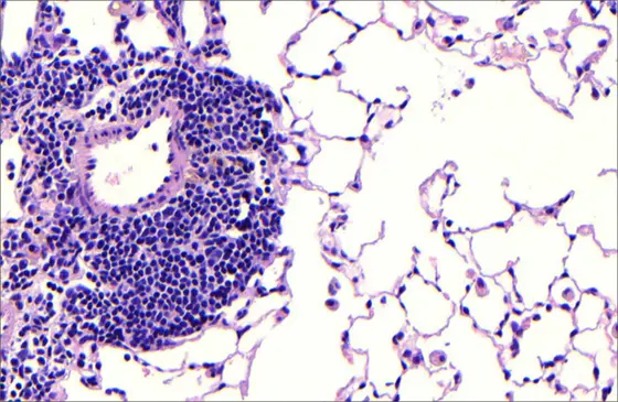
Gewebeschnitt durch die Lunge einer Maus, die über sechs Monate hinweg Zigarettenrauch ausgesetzt war. In den sich entwickelnden Follikel sind dicht gepackte Entzündungszellen zu erkennen, geschädigte Alveolarstrukturen vergrößern den Luftraum. Beides sind charakteristische Merkmale der COPD.
Gewebeschnitt durch die Lunge einer Maus, die über sechs Monate hinweg Zigarettenrauch ausgesetzt war. In den sich entwickelnden Follikel sind dicht gepackte Entzündungszellen zu erkennen, geschädigte Alveolarstrukturen vergrößern den Luftraum. Beides sind charakteristische Merkmale der COPD.

Die Lungenkrankheit COPD (chronic obstructive pulmonary disease) zählt zu den häufigsten und tödlichsten Erkrankungen weltweit. Wissenschaftlerinnen und Wissenschaftlern des Helmholtz Zentrums München und des Deutschen Krebsforschungszentrums (DKFZ) ist es nun gelungen, COPD in Mäusen, die chronischem Zigarettenrauch ausgesetzt waren, zu heilen. Ziel der Forschungsgruppe ist es, den neuen Therapieansatz in den nächsten Jahren in ersten klinischen Studien am Menschen zu prüfen. Gemeinsame Pressemitteilung des Helmholtz Zentrums München und des Deutschen Krebsforschungszentrum

Aktuell leiden mehr als 250 Millionen Menschen an der fortschreitenden Krankheit COPD, einer entzündlichen Erkrankung der Lunge. Die Weltgesundheitsorganisation (WHO) listet COPD auf Rang drei der häufigsten Todesursachen weltweit, gleich nach Herzinfarkten und Schlaganfällen. Hauptauslöser für COPD ist chronischer Zigarettenrauch. Neunzig Prozent der COPD-Erkrankten rauchen oder haben geraucht. Zu den weiteren Risikofaktoren zählt Luftverschmutzung. Trotz intensiver Forschung ist es bis heute nicht gelungen, COPD zu heilen. In vielen Fällen führt COPD zu einer Lungenfibrose und zum Zelltod von Lungenepithelzellen. Patientinnen und Patienten haben deshalb Schwierigkeiten beim Atmen. Derzeitige Behandlungsmethoden versuchen, die Symptome zu lindern (vor allem Kurzatmigkeit und Husten mit Auswurf) sowie das Fortschreiten der Krankheit und seiner Folgeerkrankungen (vor allem Muskelschwund) aufzuhalten. In schweren Fällen sind Betroffene auf eine Lungentransplantation angewiesen.

 

Das Lungengewebe muss sich regenerieren

„Eines der größten Probleme bei COPD ist, dass die Lunge sich nicht selbst regenerieren kann“, sagt Ali Önder Yildirim, Direktor des Instituts für Lungenbiologie am Helmholtz Zentrum München und Leiter der neuen Studie. „Daher muss eine Behandlung, die die Krankheit tatsächlich ausheilen kann, das beschädigte Lungengewebe wiederherstellen und den Zelltod von Lungenepithelzellen unterbinden.“

Im Jahr 2009 gelang es einer DKFZ-Forschungsgruppe um Mathias Heikenwälder, chronische Entzündungen und Fibrose in der Leber zu verhindern. Dazu blockierte der Wissenschaftler den Lymphotoxin-Beta-Rezeptor-Signalweg in der Leber. Dieser ist für die Aktivierung und Organisation von Immunzellen sowie für chronische Leberentzündungen und Fibrose verantwortlich. „Wir nahmen deshalb an, dass das Blockieren des Lymphotoxin-Beta-Rezeptors auch in den regenerativen Prozessen anderer Organe eine Rolle spielen könnte“, erläutert Heikenwälder.

Tatsächlich gibt es viele Parallelen zwischen der Entstehung von Krankheiten in der Leber und in der Lunge. Bei COPD bilden Immunzellen neu organisierte Strukturen aus, sogenannte tertiäre Follikel. Von diesen weiß man, dass sie für das Fortschreiten der Krankheit relevant sind. Die Follikel können sich nur dann bilden, wenn der Lymphotoxin-Beta-Rezeptor in der Lunge aktiviert ist – also der gleiche Rezeptor, den Heikenwälder bereits in seiner Studie an der Leber blockiert hat. „Unser Ziel war es, herauszufinden, welche Funktion dieser Rezeptor und seine Signalwege bei der COPD einnehmen und ob wir sie für therapeutische Zwecke nutzen können“, sagt Yildirim. Die Forscherinnen und Forscher blockierten daher die Signalwege des Lymphotoxin-Beta-Rezeptors in den Lungen von Mäusen, die aufgrund chronischen Zigarettenrauchs COPD-typische Symptome entwickelt hatten (Immunzellfollikel, Fibrose und Zelltod von Lungenepithelzellen).

 

Lungengewebe in Mäusen wieder vollständig hergestellt

Das Ergebnis: Die Blockierung der Signalwege des Lymphotoxin-Beta-Rezeptors in der Lunge von COPD-Mäusen verhinderte die Formation der Immunzellfollikel. Dies wiederum unterband den Zelltod von Lungenepithelzellen. Überraschenderweise regte die Signalblockade das Lungengewebe zur selbstständigen Regeneration an. „Obwohl die Mäuse dauerhaft Zigarettenrauch ausgesetzt waren, konnten wir eine vollständige Wiederherstellung des Lungengewebes beobachten“, sagt Thomas M. Conlon, der in Yildirims Gruppe am Helmholtz Zentrum München forscht. „Zusätzlich sahen wir, dass mit zunehmender Heilung der Lungen auch eine Verbesserung in den Folgeerkrankungen wie Muskelschwund eintrat.“

Im Weiteren fanden die Wissenschaftlerinnen und Wissenschaftler heraus, dass die Regeneration des Lungengewebes durch sogenannte Wnt-Signale in geschädigten Lungenepithelzellen angeregt wird. Diese Signale werden automatisch aktiviert, sobald der Lymphotoxin-Beta-Rezeptor in den geschädigten Zellen blockiert wird. „Wnt-Signalwege sind für die Lungenentwicklung essentiell. Bei COPD sind sie abgeschaltet, weshalb sich die Lunge nicht selbst reparieren und regenerieren kann“, erklärt Heikenwälder. In früheren Experimenten konnte man bereits nachweisen, dass die Reaktivierung der Wnt-Signalwege in Mäusen zur Reparatur der Lunge führt.

 

Neuer Therapieansatz

„Wir sehen in unserer Studie einen neuen Therapieansatz. Unsere Idee ist es einen Lymphotoxin-Beta-Rezeptor-Blocker zu entwickeln, um den Zelltod von Lungenepithelzellen und Entzündungen zu reduzieren. Dabei werden dann gleichzeitig Wnt-Signale freigesetzt, die die Regeneration von Lungengewebe anregen könnte“, sagt Yildirim.

In ersten präklinischen Experimenten wies die Forschungsgruppe bereits nach, dass sich die Signale des Lymphotoxin-Beta-Rezeptors in menschlichen Lungengewebeproben identisch zu den Signalwegen in der Maus verhalten. Die nun in der Fachzeitschrift Nature veröffentlichten Ergebnisse haben erhebliches Potenzial, die regenerative Lungenmedizin zu verbessern. Ziel der Forscherinnen und Forscher ist es, den neuen Therapieansatz in den kommenden Jahren in klinischen Studien am Menschen zu prüfen.

 

Originalpublikation

Conlon et al., 2020: Inhibition of LTβR-signaling activates Wnt-induced regeneration in lung. Nature, DOI: 10.1038/s41586-020-2882-8

Ein Bild zur Pressemitteilung steht zum Download zur Verfügung:
Lungenfollikel.jpg 

Gewebeschnitt durch die Lunge einer Maus, die über sechs Monate hinweg Zigarettenrauch ausgesetzt war. In den sich entwickelnden Follikel sind dicht gepackte Entzündungszellen zu erkennen, geschädigte Alveolarstrukturen vergrößern den Luftraum. Beides sind charakteristische Merkmale der COPD.

©Helmholtz Zentrum München

Über das DKFZ

Das Deutsche Krebsforschungszentrum (DKFZ) ist mit mehr als 3.000 Mitarbeiterinnen und Mitarbeitern die größte biomedizinische Forschungseinrichtung in Deutschland. Wissenschaftlerinnen und Wissenschaftler erforschen im DKFZ, wie Krebs entsteht, erfassen Krebsrisikofaktoren und suchen nach neuen Strategien, die verhindern, dass Menschen an Krebs erkranken. Sie entwickeln neue Methoden, mit denen Tumoren präziser diagnostiziert und Krebspatienten erfolgreicher behandelt werden können. Beim Krebsinformationsdienst (KID) des DKFZ erhalten Betroffene, Interessierte und Fachkreise individuelle Antworten auf alle Fragen zum Thema Krebs.

Um vielversprechende Ansätze aus der Krebsforschung in die Klinik zu übertragen und so die Chancen von Patientinnen und Patienten zu verbessern, betreibt das DKFZ gemeinsam mit exzellenten Universitätskliniken und Forschungseinrichtungen in ganz Deutschland Translationszentren:

  • Nationales Centrum für Tumorerkrankungen (NCT, 6 Standorte)
  • Deutsches Konsortium für Translationale Krebsforschung (DKTK, 8 Standorte)
  • Hopp-Kindertumorzentrum (KiTZ) Heidelberg
  • Helmholtz-Institut für translationale Onkologie (HI-TRON) Mainz – ein Helmholtz-Institut des DKFZ
  • DKFZ-Hector Krebsinstitut an der Universitätsmedizin Mannheim
  • Nationales Krebspräventionszentrum (gemeinsam mit der Deutschen Krebshilfe)

Das DKFZ wird zu 90 Prozent vom Bundesministerium für Forschung, Technologie und Raumfahrt und zu 10 Prozent vom Land Baden-Württemberg finanziert und ist Mitglied in der Helmholtz-Gemeinschaft Deutscher Forschungszentren.

Formular

Formulardaten werden geladen ...