Nr. 41

Anogenitalkrebs: Fehlendes Signalmolekül macht es Krebszellen leicht

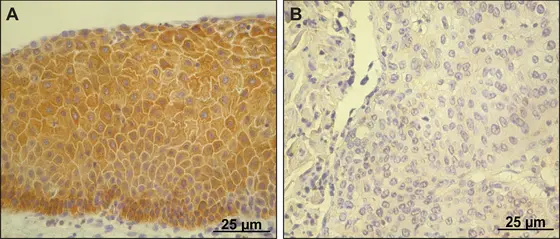
A) Normales Gebärmutterhalsgewebe, das viel pro-IL-1β enthält (braun gefärbt) B) Gebärmutterhalskrebs, negativ für pro-IL-1β
A) Normales Gebärmutterhalsgewebe, das viel pro-IL-1β enthält (braun gefärbt) B) Gebärmutterhalskrebs, negativ für pro-IL-1β

Die Infektion mit Humanen Papillomviren (HPV) kann nicht nur zu Gebärmutterhalskrebs, sondern auch zu anderen Arten von Anogenitalkrebs führen. Wissenschaftler um Professor Frank Rösl vom Deutschen Krebsforschungszentrum (DKFZ) haben nun herausgefunden, dass die Viren ein für die Immunreaktion wichtiges Schlüsselmolekül so beeinflussen, dass sie dem Angriff des Immunsystems entgehen. Dieser bisher unbekannte Mechanismus liefert möglicherweise sogar neue Ansätze für die Krebsmedizin: So könnte das Molekül als Marker dienen, um HPV-Infektionen zu entdecken, bevor ein bösartiger Tumor entsteht.

Von 170 Humanen Papillomviren gelten ungefähr zehn Prozent als krebserregend, darunter auch die besonders aggressiven HPV-Typen 16 und 18. Das Virus infiziert vorrangig Keratinozyten, Zellen der oberen Hautschicht und der Schleimhäute. Wie auch die Herpesviren sind HPV in der Lage, über einen längeren Zeitraum im Körper zu verweilen. Eine infizierte Zelle kann noch viele Jahre später entarten und zu Krebs führen.

Wie es HPV gelingt, dem Immunsystem zu entkommen, haben Professor Frank Rösl und sein Mitarbeiter Dr. Bladimiro Rincon-Orozco vom DKFZ untersucht. Sie konzentrierten sich auf einen wichtigen, immunstimulierenden Botenstoff – Interleukin-1 Beta (IL-1β). „In gesunden Zellen liegt der Botenstoff zunächst als inaktives Vorläufermolekül pro-IL-1β vor. Dringt ein Virus in die Zelle ein, wird das Vorläufermolekül durch ein Enzym in seine biologisch aktive Form gespalten und nach außen freigesetzt“, erklärt Rösl. „IL-1β lockt Immunzellen an. Diese eliminieren die virusinfizierte Zelle anschließend über einen mehrstufigen Mechanismus.“

In Versuchen mit Zellkulturen fanden die Forscher heraus, dass E6, ein HPV-spezifisches Protein, in den Reifeprozess von pro-IL-1β eingreift. Bladimiro Rincon-Orozco und die Doktorandin Martina Niebler infizierten humane Keratinozyten mit dem HPV-Typ 16 oder 18. Dabei zeigte sich, dass diese Zellen nicht mehr in der Lage waren, reifes IL-1β auszuschütten. Der Grund: E6 lässt das Vorläufermolekül durch das sogenannte Proteasom abbauen. Das Proteasom ist die „Recyclinganlage“ der Zelle und normalerweise dafür zuständig, beschädigte bzw. nicht mehr gebrauchte Proteine zu zerkleinern. „Der Abbau des Vorläufermoleküls findet sehr früh während der Infektion statt und erklärt, warum in HPV-16 oder 18 infizierten Zellen kein IL-1β mehr gebildet wird“, sagt Rösl. „Ohne diesen Botenstoff hat es das Immunsystem schwer, die Infektion zu entdecken und abzuwehren.“

Dass die Konzentration von IL-1β nicht nur unter Laborbedingungen in HPV-infizierten Keratinozyten erniedrigt ist, haben die Forscher ebenfalls nachgewiesen. In Kooperation mit der Charité Berlin untersuchten sie Gewebeproben von HPV 16 bzw. HPV 18-positiven Patientinnen mit Gebärmutterhalskrebs: „Je weiter fortgeschritten der Krebs war, desto weniger IL-1β produzierten die Zellen“, sagt Bladimiro Rincon-Orozco. „Zusammen mit der Charité und der Kopfklinik Heidelberg wollen wir nun überprüfen, ob sich die veränderte IL-1β- Konzentration als Marker für Anogenitalkrebs und andere HPV-bedingte Krebsarten eignet.“ So zum Beispiel auch für Tumoren im Mund-Rachenraum, welche ebenfalls im Zusammenhang mit HPV stehen.

Dieser Mechanismus lässt sich möglicherweise auch therapeutisch nutzen: „Derzeit werden sogenannte Proteasom-Hemmer klinisch geprüft“, erklärt Rösl. Dabei inaktivieren bestimmte chemische Substanzen das Proteasom, wodurch es nicht mehr in der Lage ist, Proteine zu zerkleinern. Die Wissenschaftler halten es für denkbar, dass das Immunsystem mit funktionsfähigem Interleukin-1β wieder in der Lage wäre, die entstehende Krebszelle zu erkennen und zu eliminieren.

Martina Niebler, Xu Qian, Daniela Höfler, Vlada Kogosov, Jittranan Kaewprag, Andreas M. Kaufmann, Regina Ly, Gerd Böhmer, Rainer Zawatzky, Frank Rösl, Bladimiro Rincon-Orozco. Post-Translational Control of IL-1β via the Human Papillomavirus Type 16 E6 Oncoprotein: A Novel Mechanism of Innate Immune Escape Mediated by the E3-Ubiquitin Ligase E6-AP and p53. PLOS Pathogens. 2013 Aug 1. DOI: 10.1371/journal.ppat.1003536

Ein Bild zur Pressemitteilung steht im Internet zur Verfügung unter:
Normalgewebe_und_Gebaermutterhalskrebs.jpg

Legende:
A) Normales Gebärmutterhalsgewebe, das viel pro-IL-1β enthält (braun gefärbt)
B) Gebärmutterhalskrebs, negativ für pro-IL-1β

Bildquelle:
DKFZ/Charité Berlin

Über das DKFZ

Das Deutsche Krebsforschungszentrum (DKFZ) ist mit mehr als 3.000 Mitarbeiterinnen und Mitarbeitern die größte biomedizinische Forschungseinrichtung in Deutschland. Wissenschaftlerinnen und Wissenschaftler erforschen im DKFZ, wie Krebs entsteht, erfassen Krebsrisikofaktoren und suchen nach neuen Strategien, die verhindern, dass Menschen an Krebs erkranken. Sie entwickeln neue Methoden, mit denen Tumoren präziser diagnostiziert und Krebspatienten erfolgreicher behandelt werden können. Beim Krebsinformationsdienst (KID) des DKFZ erhalten Betroffene, Interessierte und Fachkreise individuelle Antworten auf alle Fragen zum Thema Krebs.

Um vielversprechende Ansätze aus der Krebsforschung in die Klinik zu übertragen und so die Chancen von Patientinnen und Patienten zu verbessern, betreibt das DKFZ gemeinsam mit exzellenten Universitätskliniken und Forschungseinrichtungen in ganz Deutschland Translationszentren:

  • Nationales Centrum für Tumorerkrankungen (NCT, 6 Standorte)
  • Deutsches Konsortium für Translationale Krebsforschung (DKTK, 8 Standorte)
  • Hopp-Kindertumorzentrum (KiTZ) Heidelberg
  • Helmholtz-Institut für translationale Onkologie (HI-TRON) Mainz – ein Helmholtz-Institut des DKFZ
  • DKFZ-Hector Krebsinstitut an der Universitätsmedizin Mannheim
  • Nationales Krebspräventionszentrum (gemeinsam mit der Deutschen Krebshilfe)

Das DKFZ wird zu 90 Prozent vom Bundesministerium für Forschung, Technologie und Raumfahrt und zu 10 Prozent vom Land Baden-Württemberg finanziert und ist Mitglied in der Helmholtz-Gemeinschaft Deutscher Forschungszentren.

Formular

Formulardaten werden geladen ...